肺转移瘤

肺转移瘤ct(图)
图片尺寸700x606
肺转移瘤的外科治疗_肺转移性肿瘤_肺转移性肿瘤治疗方式 - 好大夫
图片尺寸463x370
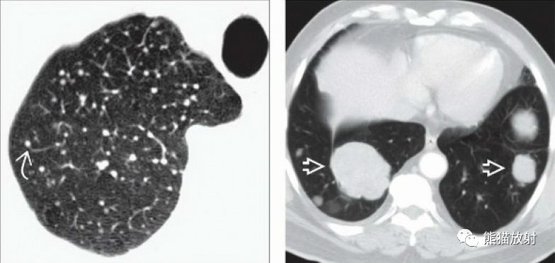
女19岁甲状腺癌肺广泛转移肺部满天星般转移瘤
图片尺寸972x607
甲状腺癌肺转移,密集恐惧症者慎点! | 医学影像园
图片尺寸972x1288
肺转移性肿瘤
图片尺寸316x480
绒毛膜癌肺转移
图片尺寸1242x2208
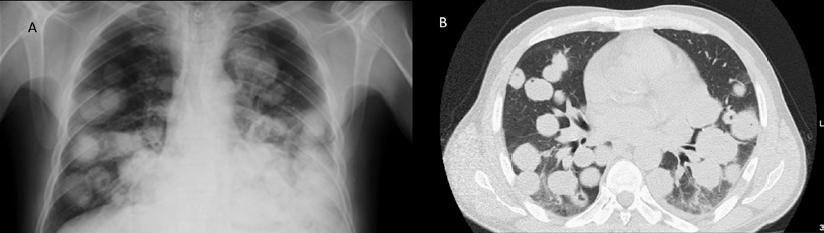
bmj子刊:「炮弹样肺转移瘤」长啥样?
图片尺寸950x406
62岁男性ct发现双肺多发结节被诊断转移瘤医生讲解
图片尺寸480x270
肺部转移瘤的影像诊断
图片尺寸640x470![典型病例066:肺癌肺转移,密集恐惧症者忌 [病例帖]](https://imgs.wantubizhi.com/img/A1A61BAA66193547F3A6DD7D8EE527E9D381A03D8970C2FD60F9986BE82BB9A3AEDDD8587AB5722D144EE19828C4CE1E19F9BDF870A6557E2D2704190F528825A900677941C32AD8B624C797E0E910F0970CC68386FB13C466006904E8CC04CF)
典型病例066:肺癌肺转移,密集恐惧症者忌 [病例帖]
图片尺寸2324x1344
中央型肺癌肺内多发转移一例
图片尺寸592x1052
bmj子刊炮弹样肺转移瘤长啥样
图片尺寸824x233
肺腺癌广泛胸膜转移,胸腔积液,治疗2年后病灶缩小(6次住院)
图片尺寸2667x2000
查体 辅查 双肺多发结节,建议增强ct检查转移瘤可能,建议胸部进一步
图片尺寸583x473
双肺转移瘤,灌注加栓塞
图片尺寸1984x1530
胸部发现占位,胸外科会诊肺癌暂不处理,颅内为肺部肿瘤转移.
图片尺寸2667x2000
甲状腺癌肺转移——潘军平
图片尺寸1699x1505
非典型肺转移瘤丨多种影像表现
图片尺寸495x629
肺转移多种多样丨ct表现诊断要点
图片尺寸784x372
除原发性脑肿瘤外) 晚期都可以发生胸膜转移,尤其以肺癌,纵隔恶性肿瘤
图片尺寸655x250