肺部结节

令人色变的肺部结节图片
图片尺寸480x348
肺部结节
图片尺寸640x480
肺部结节_介绍_相关检查 - 好大夫在线
图片尺寸818x742
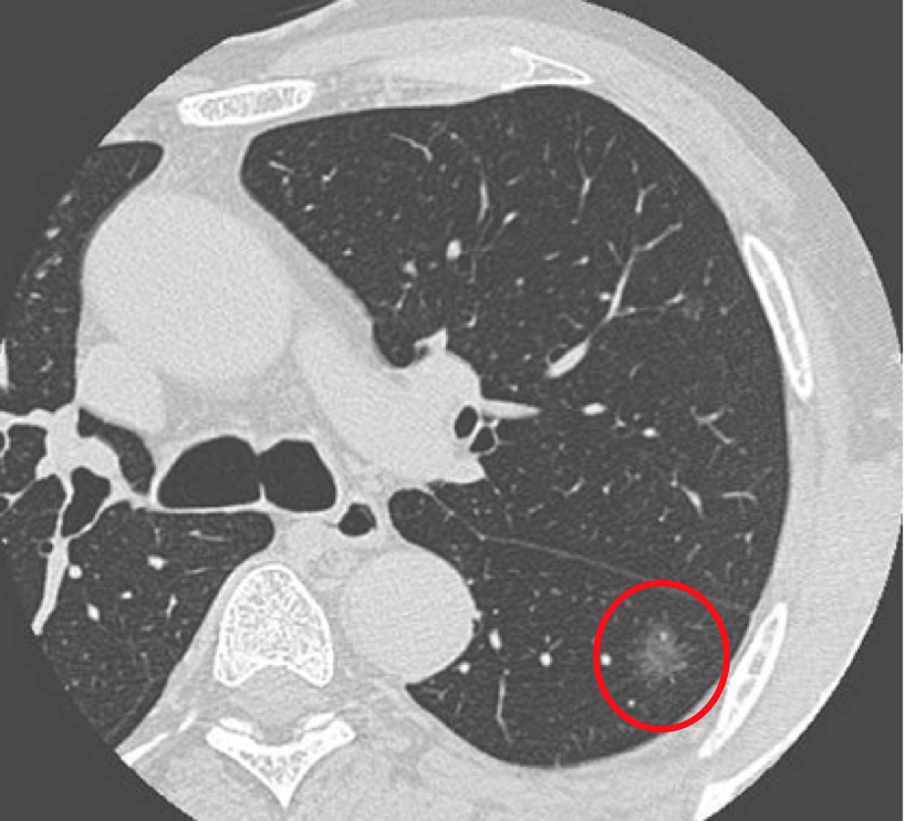
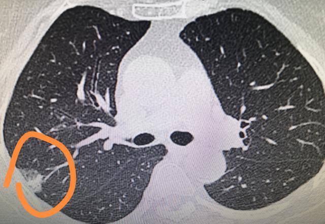
图文教你看懂恶性肺结节的ct表现_肺部结节_相关检查_就诊指导 - 好
图片尺寸3968x2976
体检发现肺部磨玻璃结节怎么办71.
图片尺寸900x1600
肺部恶性结节在体内的演化
图片尺寸1063x1200
发现肺结节怎么办?_肺部结节_介绍_就诊指导 - 好大夫在线
图片尺寸499x310
肺部实性结节都是恶性的吗?-图片大观-奇异网
图片尺寸2667x2000
肺部结节_相关检查_缓解方法 - 好大夫在线
图片尺寸1299x756
肺部结节分情况不必谈磨就色变丨健康之路
图片尺寸1000x563
查出肺结节,不能吃"大虾"吗?_肺部_食物_钙化
图片尺寸640x442
体检发现肺部结节怎么办?
图片尺寸521x200
肺部结节 - 好大夫在线
图片尺寸1050x1867
肺结节8mm随访,害怕耽误病情怎么办?_肺部_医生_治疗
图片尺寸640x385
肺部结节,患者该如何面对?
图片尺寸500x333
张先生体检时肺部ct筛查影像显示有可疑结节(箭头处).
图片尺寸500x403
图文教你看懂恶性肺结节的ct表现_肺部结节_相关检查_就诊指导 - 好
图片尺寸3648x2736
图文教你看懂恶性肺结节的ct表现_肺部结节_相关检查_就诊指导 - 好
图片尺寸3648x2736
肺部结节_介绍_相关疾病_相关检查 - 好大夫在线
图片尺寸1111x1408
图文教你看懂恶性肺结节的ct表现_肺部结节_相关检查_就诊指导 - 好
图片尺寸3968x2976