肺部造影

肺动脉造影明确肺栓塞的部位为右下肺动脉,及时行导管碎栓及接触溶栓!
图片尺寸1711x1283
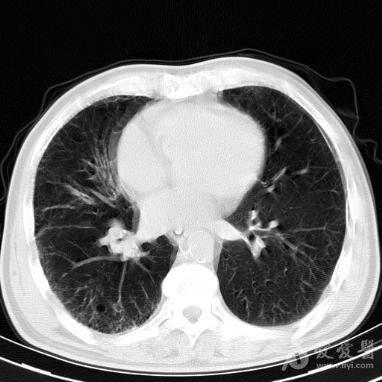
肺部改变
图片尺寸382x382
请大家来看一个肺部
图片尺寸1744x3088
造影可见右侧支气管动脉明显的造影剂外溢
图片尺寸3024x4032
患者肺部疏通前,后造影对比
图片尺寸1096x416![[交流] 双肺](https://imgs.wantubizhi.com/img/735A5D1F980B52A636CC46F12F2D1A738CCF6B999EA26C83E224990883807102505C76B636F01573AE8D50D97B2C92A1A33C833BABD5ACB1E8F5342565AD4436865761AB7F563D31C9E084002F395A6CDBA4D305BFA26FAED49F8CF2FBD7BF9E)
[交流] 双肺
图片尺寸512x512
栓塞术前的dsa造影,显示肿瘤血管丰富.
图片尺寸2000x2667
4.肺动脉血管造影
图片尺寸1200x1600
选择性肺动脉造影及肺动脉声学造影是诊断异常肺内分流的金标准!
图片尺寸2667x2000
一根烟上热搜,先让ai看看你的肺
图片尺寸700x639
这张胸片肺部有问题吗?
图片尺寸3000x4000
肺部多发病变,请各位老师指导
图片尺寸3984x5312
肺部改变
图片尺寸382x382![【讨论】发热伴咳嗽1月,左下肺阴影 [病例帖]](https://imgs.wantubizhi.com/img/A1A61BAA66193547F3A6DD7D8EE527E99CE6E3B00EA63E433B86B21E3868E04277C48F410181E333A49D32EA033196AA61870EE774FA3AE314F210FFB79D8591BF6F2312CDA970789E1F61608538D1C8B4A982588041B470B258432AB255B134)
【讨论】发热伴咳嗽1月,左下肺阴影 [病例帖]
图片尺寸2592x1944![【读片】右上肺空洞病变 [病例帖]](https://imgs.wantubizhi.com/img/ADDA3C5D760C6828B77B505A29D43E83F6404E070F4C7CD9D219E24448E7264B40662E418015623BE824B01BA71693C86ACC7C66678258DF5F48FAF0382493F385398DCC20573D642F428DA6C03FCE11B235D25A5E3284B8D0484029D2BB456B)
【读片】右上肺空洞病变 [病例帖]
图片尺寸4000x3000
上消化道造影如图
图片尺寸2445x2445
肺动脉造影 正常肺动脉
图片尺寸1080x810
肺部实性结节不能小觑尤其是这类患者
图片尺寸306x446
丁香园论坛
图片尺寸2592x1944
各位老师请你们帮忙看看,这个肺部阴影考虑是什么?
图片尺寸780x1040