肺野

呼吸系统x线阅片
图片尺寸1080x810
0基础小白必备宝典认识肺部影像结构
图片尺寸624x478
x线胸片阅读基础ppt
图片尺寸1080x810
如何正确查看胸部x光影像
图片尺寸900x506
胸片阅读教程ppt
图片尺寸1080x810
如何分析x片ppt
图片尺寸1080x810
阅读胸片的abcde
图片尺寸576x328
爸爸戒烟吧,看看你的肺!
图片尺寸640x632
执业医师影像学辅导ppt
图片尺寸1080x810
纵隔两旁含气的肺在胸片上所显示的透明区域称肺野
图片尺寸545x434
摸象之认识正常的肺野透过度
图片尺寸550x1064
肺野的划分在正位胸片上,肺纹理自肺门向肺野中
图片尺寸640x474
x线正常胸片 - 抖音
图片尺寸1128x1021
摸象之认识正常的肺野透过度
图片尺寸546x498
肺空洞的鉴别※肺结核空洞:上肺野空洞 周边卫星
图片尺寸933x799
1,扫描层厚影响肺野透过度的因素1mm层厚1mm间距正
图片尺寸553x380
新生儿肺脏疾病超声诊断指南
图片尺寸708x649
超详细胸片教学不信你还学不会
图片尺寸640x707
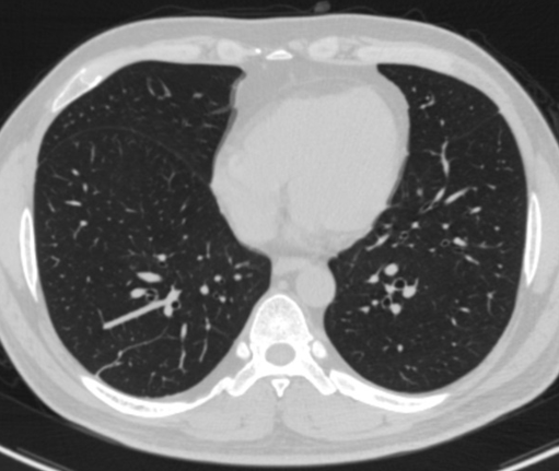
5mm层厚1,扫描层厚影响肺野透过度的因素1mm层厚1
图片尺寸511x431
常规扫描8mm层厚8mm层间距,肺窗的肺野显示目前通常
图片尺寸551x393