肺韧带

肺韧带ct影像表现
图片尺寸1040x613
医学影像笔记第0057期肺韧带解剖及影像表现
图片尺寸403x532
肺门和肺段断层解剖及ct课件.ppt
图片尺寸1152x864
3,肺韧带(pulmonary ligament)
图片尺寸1080x332
chapter06呼吸系统.ppt
图片尺寸960x720
肺韧带:纵隔胸膜和脏胸膜在肺根下方相互移行,前,后两层重叠而形成,连
图片尺寸639x577
肺及肺段解剖
图片尺寸920x690
表面的浆膜 壁胸膜(依贴附部位分: 肋,膈,纵膈胸膜 ,胸膜顶及肺韧带)
图片尺寸1080x810
解剖学肺
图片尺寸350x300
渗出液因胸膜内感染和各种刺激所引起,多继发于肺,胸膜或纵隔炎症和
图片尺寸751x378
人体断层解剖图谱(胸腔)ppt
图片尺寸1080x810
左肺韧带示意图右肺韧带示意图肺韧带((pulmonary ligament)又称下肺
图片尺寸696x420
01 肺与气管
图片尺寸1080x608
心脏大血管的影像学解剖
图片尺寸960x720
肺部解剖与分段
图片尺寸960x720
解剖学肺
图片尺寸626x347
肺的解剖与分段
图片尺寸960x720
胸部ct上的"肺韧带",别再报纤维条索了_影像_纵隔_解剖图
图片尺寸814x633
9组淋巴结:肺韧带淋巴结如图,上界为下肺静脉,下界为横隔下肺韧带是一
图片尺寸640x407
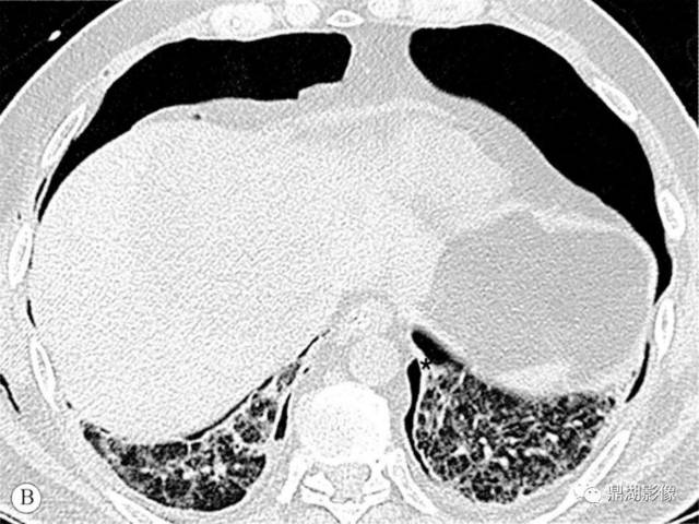
胸部ct天天见,却不认识的结构:肺韧带
图片尺寸640x480