肺韧带图

肺韧带
图片尺寸427x475
考研/运动解剖学/肺门,肺根
图片尺寸1920x1172
左肺韧带示意图右肺韧带示意图肺韧带((pulmonary ligament)又称下肺
图片尺寸696x420
医学影像笔记第0057期肺韧带解剖及影像表现
图片尺寸483x641
女子肺部高危磨玻璃结节,个体化治疗最大限度保留健康肺组织
图片尺寸660x825
胸部ct上的"肺韧带",别再报纤维条索了
图片尺寸1040x613
医学影像笔记第0057期肺韧带解剖及影像表现
图片尺寸403x532
肺叶
图片尺寸706x941
每天坚持学解剖——肺段划分
图片尺寸1920x2560
部分肺结节位置比较特殊,处于某个亚肺段或者两个亚肺段之间,直接切除
图片尺寸1079x1397
医学影像笔记第0057期肺韧带解剖及影像表现
图片尺寸403x471
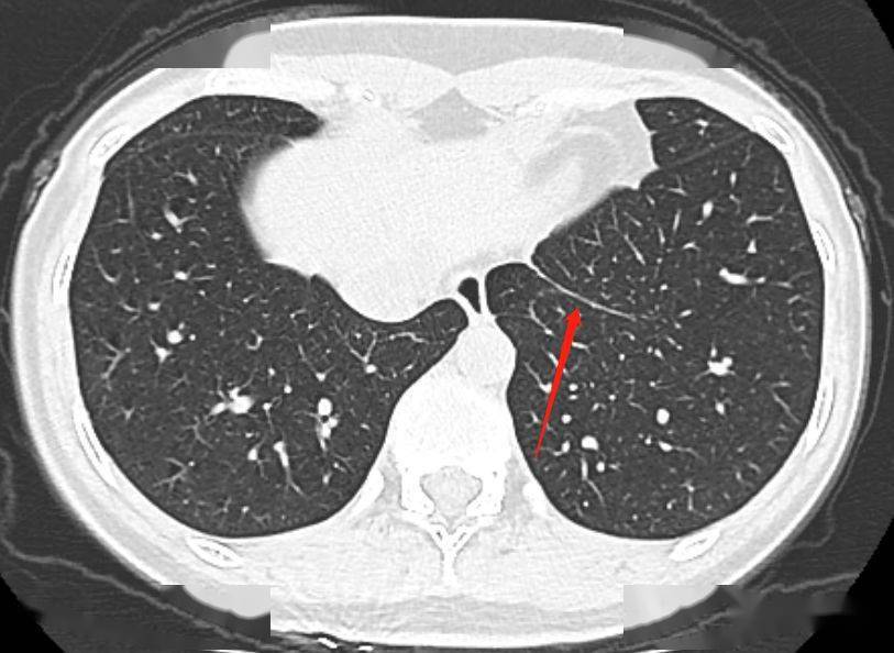
胸部ct天天见,却不认识的结构:肺韧带
图片尺寸850x455
十六,左,右肺韧带层面(断层十六)关键结构:左,右肺韧带及位于后
图片尺寸640x573
肺位于胸腔内,纵隔两侧,左右各一,借肺根和肺韧带与纵隔相连.
图片尺寸691x655
是人胚胎发育过程中的胸膜残存部分.左,右肺韧带的显示率分别为60-70
图片尺寸1000x1024
胸部ct上的"肺韧带",别再报纤维条索了_影像_纵隔_解剖图
图片尺寸813x594
肺五叶十八段图
图片尺寸1269x846
胸部ct上的"肺韧带",别再报纤维条索了
图片尺寸963x723
对于下叶基底段的切除,也有斜裂入路(先处理动脉)和下肺韧带入路(先
图片尺寸2677x3444
肺的分叶和分段详细图平面图
图片尺寸1976x1317