肾上腺占位

肾上腺占位
图片尺寸2048x1536
肾上腺ct
图片尺寸800x800
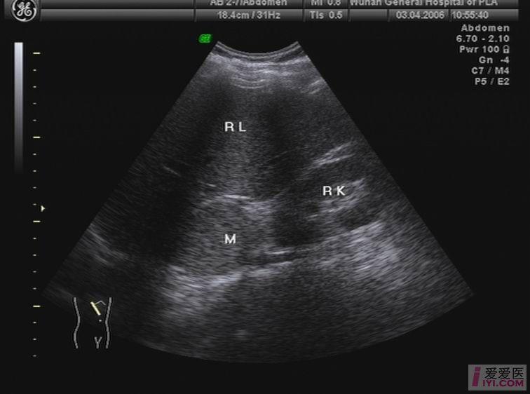
病例分享 | 肾上腺肿物伴频发室早及晕厥1例
图片尺寸1042x817
发现右侧肾上腺占位2年
图片尺寸512x512
肾上腺占位中有恶性肿瘤吗?_肾上腺肿瘤_肾上腺肿瘤介绍 - 好大夫在线
图片尺寸1736x2312
肾上腺占位等你分析丨读片专栏675期
图片尺寸960x720
右肾上腺区占位
图片尺寸756x562
肾上腺占位等你分析丨读片专栏675期
图片尺寸960x720![【读片】双侧肾上腺占位,ct增强,病理结果公布! [病例帖]](https://imgs.wantubizhi.com/img/735A5D1F980B52A636CC46F12F2D1A7318605335D1F570AA61B389EC74A885D9E9776D172629CAE6A4F205ED4146FF3BDD226BB65C2FC1F13AD5BCE4EC0D1F0364AAC8BCD38ABF350E9C1C6F42F62C8546DBE21F8843A7C7EE44E442BE3CBAC4)
【读片】双侧肾上腺占位,ct增强,病理结果公布! [病例帖]
图片尺寸1350x978
左侧肾上腺区占位1例
图片尺寸680x510
女,36岁,无任何症状,体检时超声发现左侧肾上腺区占位,ct扫描如图
图片尺寸364x377
肾上腺肿瘤影像学诊断策略ppt
图片尺寸1080x810![【读片】肾上腺占位,病理公布 [病例帖]](https://imgs.wantubizhi.com/img/735A5D1F980B52A636CC46F12F2D1A73A01E41427C188F7E9632291FBF9C843A27C2A80383D77A65BEB5DDE2CCE2E902F8731C0C4908174BE5EC529AE7F887FF952845A7C04BE0436176EBB386F1BD4BBEE48FAFA6F9D59FBF5252DFAE39B7D3)
【读片】肾上腺占位,病理公布 [病例帖]
图片尺寸690x579
公卫救治顽固性高血压控制住了记肾上腺内分泌高血压多学科合作的第一
图片尺寸886x706
左侧肾上腺腺瘤一例 - 好大夫在线
图片尺寸3648x2736
左肾上腺占位1cm,边界清楚,椭圆形,等低密度.
图片尺寸4030x3022
左侧肾上腺高密度占位
图片尺寸1200x1600
【请教】巨大肾上腺占位
图片尺寸2304x3072
ct影像肾上腺区占位,警惕嗜铬细胞瘤
图片尺寸640x360
左侧肾上腺占位
图片尺寸680x429