肾囊肿ct

肾囊肿是什么,为什么要随诊复查?
图片尺寸518x523
肾囊肿会复发和癌变吗_肾癌_预后_发病原因 - 好大夫在线
图片尺寸812x662
这是术前ct,显示右肾巨大肾囊肿
图片尺寸2000x2667
体检查出左肾两个囊肿,大小16mm×12mm,9mm×7mm,左肾囊肿22×17mm,是
图片尺寸2947x2013
查体 辅查 腹部ct检查,发现左肾囊肿,大小约7*6cm
图片尺寸563x430
5cm的左肾囊肿,担心军校体检要求治疗,原本水样密度的囊肿增强ct后21
图片尺寸2137x1200
泌尿生殖系统 第二节 泌尿系统病变 五,泌尿系统畸形(七)单纯性肾囊肿
图片尺寸640x485
【病例】左肾上腺上皮样囊肿1例ct影像表现
图片尺寸640x615
肾囊肿
图片尺寸1998x1655
患者男,62岁,体检发现左肾囊肿6.5×5
图片尺寸4029x3021
ct所见:右肾囊肿.
图片尺寸1600x1200
术后三月复查ct提示肾囊肿明显缩小,囊壁塌陷,治疗效果显著.
图片尺寸687x942
右肾囊肿ct
图片尺寸2667x2000
上图为术前ct1年前患者因为左肾囊肿在我科行"经后腹腔镜左肾囊肿去顶
图片尺寸1000x750
比如增强ct,静脉肾盂造影等有些患者肾囊肿术后改变可以通过超声造影
图片尺寸637x993
ct引导下肾囊肿穿刺抽液硬化治疗
图片尺寸2133x1200
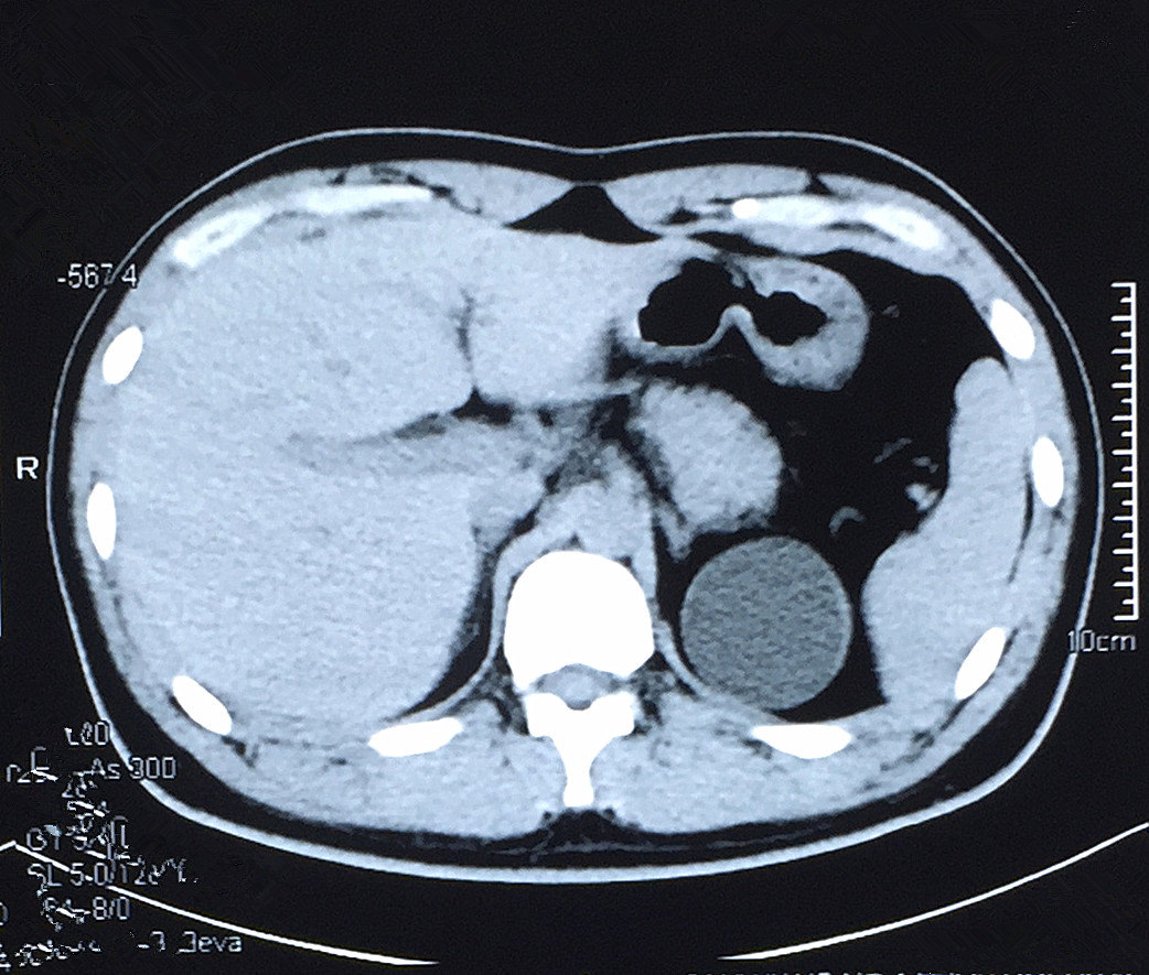
术前增强ct提示左肾下级囊肿
图片尺寸4032x3024
ct明白显示右肾囊肿,能耐受手术,去顶减压效果最好,否则可用b超引导
图片尺寸2667x2000
男性,25岁,单位体检时发现左肾囊肿,ct显示左肾上极可见一约6
图片尺寸1042x885
双肾囊肿
图片尺寸680x999