肾挫裂伤

要不是北京医生主动曝光,你永远无法看到这一幕!
图片尺寸1080x810
腹部实质性脏器外伤的ct表现
图片尺寸1080x810
(原创)今夜抢救吃药后跪姿昏迷左侧挤压伤,横纹肌溶解急性肾损伤1例
图片尺寸2560x1752
6岁小孩右肾横断伤生命垂危, 人民医院多专家联合成功救治
图片尺寸2000x2667
腹部实质性脏器外伤的ct表现
图片尺寸1080x810
肾挫裂伤
图片尺寸456x375
连续两例肾挫裂伤—都是电动车惹的祸!
图片尺寸1770x1440
2肾挫伤ppt
图片尺寸860x645
左肾动脉闭塞,左肾挫裂伤并缺血.
图片尺寸1699x1202
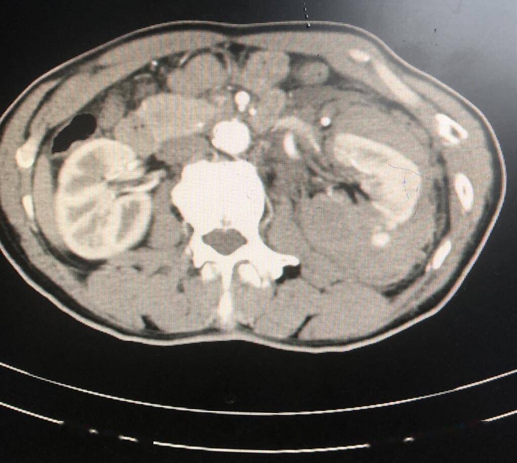
压痛,左肾叩击疼痛明显,进一步ct检查显示患者左肋骨骨折,左肾挫裂伤
图片尺寸1021x913
所有分类 高等教育 医学 泌尿系损伤ppt 很有用的外科知识哦~~ 肾 损
图片尺寸1080x810
左肾挫伤一例
图片尺寸680x510
外伤致肾损伤
图片尺寸540x720
腹 肾挫伤
图片尺寸1080x810
病例结果:右侧多发肾裂伤编辑/校对:郑孝飞增强ct男,46岁,因"外伤后
图片尺寸960x720
女士不慎肾挫伤,介入科转危为安!
图片尺寸3024x4032
Ⅳ级:裂伤:肾损伤贯穿肾皮质髓质和集合系统,血管损伤:肾动,静脉主要
图片尺寸640x480
肾搓裂伤
图片尺寸512x512
多部门合作抢救一名肾挫裂伤患者
图片尺寸1280x960
肾脏外伤ct表现:肾包膜下血肿(纤维膜内)肾周血肿(肾筋膜内)肾挫伤肾
图片尺寸1080x810