肾柱肥大

左肾先天性肾柱肥大
图片尺寸768x576
54y男,左肾肾柱肥大(mr证实) - 抖音
图片尺寸1440x1920
肾柱肥大
图片尺寸720x480
b超肾柱肥大?还是肿瘤,急
图片尺寸1280x960
肾-正常变异 肾柱肥大
图片尺寸1080x810
珍贵资料,这是先天肥大的肾柱?还是肿瘤?敬请讨论留言,待续
图片尺寸600x800
没见过肾柱肥大这幅是吗请高手指点
图片尺寸720x576
校园生活
图片尺寸1080x1160
肾柱肥大?肾肿瘤?
图片尺寸4000x3000
肾柱肥大 - 好大夫在线
图片尺寸1069x682
珍贵资料这是先天肥大的肾柱还是肿瘤敬请讨论留言待续
图片尺寸600x800
肾柱肥大?
图片尺寸374x329
老师们帮我看一下这个是肾柱肥大吗
图片尺寸3264x2448
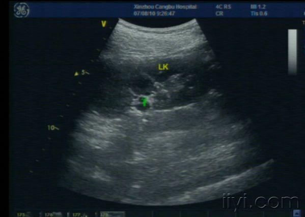
请分析这个右肾内的低回声是肥大的肾柱还是占位呢?
图片尺寸599x427
珍贵资料这是先天肥大的肾柱还是肿瘤敬请讨论留言待续
图片尺寸600x800
肾柱肥大?女,36岁,腰痛待查.jpg
图片尺寸768x576
请分析这个右肾内的低回声是肥大的肾柱还是占位呢?
图片尺寸599x427
呢肾椎体融合的程度不同,穿刺方式不同如c这种,中间的肾柱几乎不存在
图片尺寸960x540
肾内低回声团块!肾柱肥大?
图片尺寸640x480
双肾盂还是肾柱肥大
图片尺寸768x576