肾梗死

肾梗死-肉眼观
图片尺寸752x1048
肾梗死
图片尺寸640x563
9号片,肾贫血性梗死
图片尺寸1080x810
病理图谱4ppt.ppt
图片尺寸1152x864
病理实验报告肾梗死红蓝铅绘图
图片尺寸1080x809
【病理学】肾梗死
图片尺寸2160x1080
肾贫血性梗死
图片尺寸750x750
急性肾梗死镜下
图片尺寸504x330
局灶性肾梗死1例
图片尺寸1280x960
局灶性肾梗死1例
图片尺寸1280x960
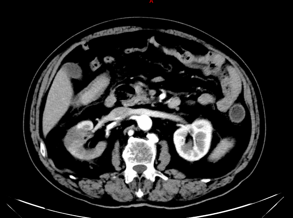
外科医生腰痛,自己诊断为结石,三天后做ct,却是肾梗死
图片尺寸1120x310
肾动脉分支栓塞,肾贫血性梗死
图片尺寸413x328
诊断明确:肾梗死!
图片尺寸933x693
病理学大体标本
图片尺寸800x600
肾梗死
图片尺寸751x331
肾梗死
图片尺寸781x300
肾梗死
图片尺寸781x315
泌尿外科少见的"急事"——急性肾梗死
图片尺寸1059x1412
肾梗死
图片尺寸777x307
以年轻的名义奔跑于红白之间,是否也感动了你?
图片尺寸1080x1065