肾积水超声

肾积水的超声诊断和鉴别要点
图片尺寸390x340
婴儿肾积水注意肾功能损伤,严重的会肾萎缩 - 好大夫在线
图片尺寸3264x2448
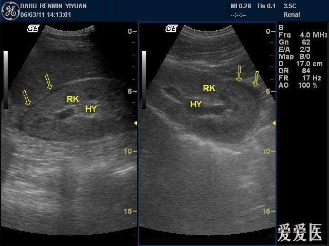
肾积水? - 超声医学讨论版 - 爱爱医医学论坛
图片尺寸720x576
输尿管结石致右肾积水 - 超声医学讨论版 - 爱爱医医学论坛
图片尺寸720x576
少见输尿管双侧结石并双侧肾积水一例 - 超声医学讨论版 - 爱爱医医学
图片尺寸768x576
第一节 肾积水-腹部彩色超声诊断-医学
图片尺寸976x737
左肾积水 ↑ 左侧输尿管扩张,中段可见结石
图片尺寸829x621
顽固性肾脏积水
图片尺寸1552x2592
什么是肾积水_肾积水_病因_检查_发病原因 - 好大夫在线
图片尺寸330x226
6 灰阶超声示输尿管壁增厚病例讨论根据是否合并感染,梗阻性肾积水可
图片尺寸710x532
超声入门贴589输尿管结石并肾积水
图片尺寸560x420
巨大积水肾 - 超声医学讨论版 - 爱爱医医学论坛
图片尺寸3264x1840
右肾结石及积水 - 超声医学讨论版 - 爱爱医医学论坛
图片尺寸640x480
肾结石,肾积水怎么治疗 _肾积水怎么治疗-第1张图片-潮百科
图片尺寸750x1334
雄安新区容城县人民医院外一科急诊为一例重度肾积水合并感染患者行经
图片尺寸854x640
泌尿系b超提示左侧输尿管结石伴肾积水
图片尺寸640x802
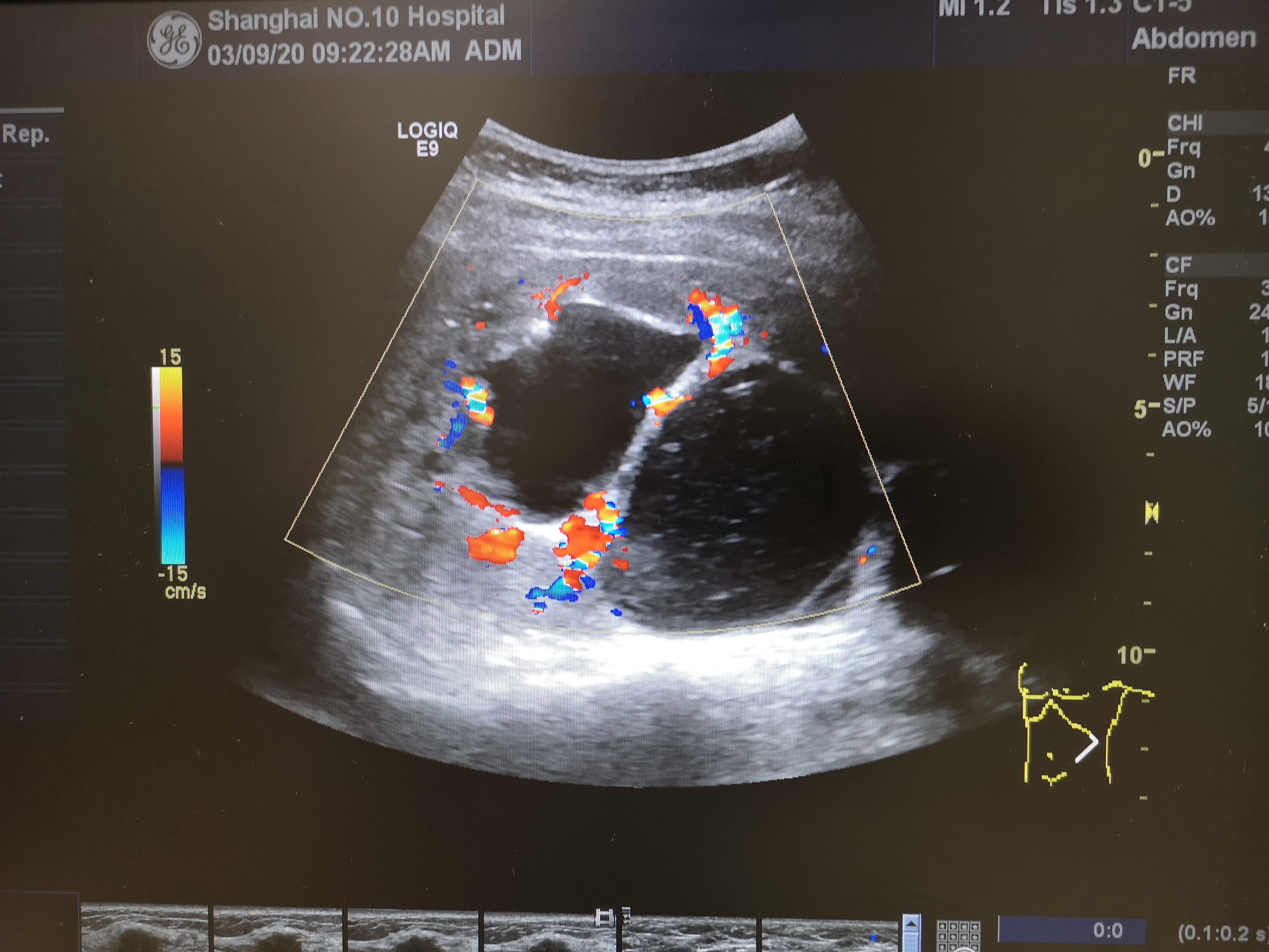
右侧输尿管结石并右肾轻度积液,右肾包膜下积液 - 超声医学讨论版
图片尺寸640x480
病例分析:双肾积水,集合系统分离【多图】
图片尺寸2448x3264
重复肾并发肾积水 - 超声医学讨论版 - 爱爱医医学论坛
图片尺寸480x454
不同的超声医生诊断结果为什么不一样?多囊肾合并肾积水 - 好大夫在线
图片尺寸3648x2736