肾肿瘤

肾肿瘤
图片尺寸500x350
左肾肿瘤一例 - 好大夫在线
图片尺寸2736x3648
肾肿瘤
图片尺寸405x539
肾肿瘤分期搞不清?一文让你秒懂!
图片尺寸329x341
腹腔镜下右肾肿瘤根治切除术 - 抖音
图片尺寸1920x1440
精准微创—腹腔镜下肾肿瘤"保肾"手术
图片尺寸1920x1080
67进修园地 | 肿瘤篇--3例特殊肾肿瘤_细胞
图片尺寸1018x720
肾肿瘤
图片尺寸500x430
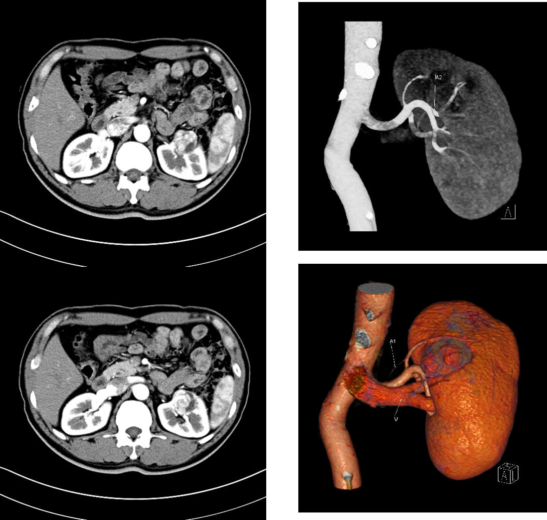
大体积肾肿瘤内生型肿瘤肾门型肿瘤如何做保肾手术
图片尺寸1091x1037
低度恶性潜能的多房囊性肾肿瘤 - 好大夫在线
图片尺寸2736x3648
ct检查考虑是肾癌,我们给她做了腹腔镜下肾肿瘤的部分切除,手术非常
图片尺寸640x853
核磁共振ct怀疑的小肾肿瘤一定是恶性的吗
图片尺寸3264x1840
手术笔记:1例10cm左肾肿瘤的手术总结_肾肿瘤_肾肿瘤治疗方式 - 好
图片尺寸3024x4032
求病理高手分析肾肿瘤标本
图片尺寸1087x802
巨大肾肿瘤公布结果在5楼
图片尺寸2592x1944
肾肿瘤
图片尺寸461x503
肾肿瘤
图片尺寸500x436
学科联合我院泌尿外科与普外科联合手术为巨大肾肿瘤患者解除病痛
图片尺寸1080x810
如何早期诊断肾脏肿瘤
图片尺寸813x571
沃医生主刀手术8肾肿瘤切不切肾这个备胎你还要吗
图片尺寸3968x2976