肾脏切片红蓝

红蓝铅笔组胚手绘来啦肾
图片尺寸1080x1102![[多选] 国家规定了服装应具有完整标识,它们分别是().](https://imgs.wantubizhi.com/img/ADDA3C5D760C6828B77B505A29D43E83CEC9E384D3645FD42DD27EF458242D2FA605A78C6B69F2E5B7474D9A5B52304E97508A15952C876CF025BD8AD5D63967A268EEA2C5940626F60F4965AAC261217B2D85CA8E7535B3A49D58E44059FF31)
[多选] 国家规定了服装应具有完整标识,它们分别是().
图片尺寸450x337
图一二是肝masson染色的切片(40x 100x)是门静脉有炎症渗出吗?
图片尺寸2592x1944
【组胚】肾皮质红蓝铅笔绘图教学
图片尺寸964x602
高血压肾
图片尺寸1080x808
原发性颗粒固缩肾
图片尺寸1000x750
正常的肾脏组织切片,是这样的——肾小球大小,形态正常,边界清晰.
图片尺寸1267x972
医学生组胚红蓝铅笔手绘图
图片尺寸1536x2048
图一二是肝masson染色的切片(40x 100x)是门静脉有炎症渗出吗?
图片尺寸2592x1944
切片显示,与正常组相比,各剂量给药组肾脏存在不同程度的病变.
图片尺寸2816x2371
第四章 常见症状评估
图片尺寸550x396
肾小体(兔肾切片,he染色,40×10) figure renal corpuscle
图片尺寸877x827
medlive.cn/upload/000/113/927
图片尺寸700x457
论坛
图片尺寸1600x1200
慢性肾炎症状
图片尺寸451x280
丁香园论坛
图片尺寸1936x1460
病理实验报告肾梗死红蓝铅绘图
图片尺寸1080x809
图片信息
图片尺寸422x537
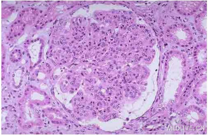
求帮忙看看肾脏he染色病理切片
图片尺寸600x451
【求助】肾脏he染色病理切片分析
图片尺寸1280x1024