胃大弯ct图

以胃为主的上腹部ct表现:胃大弯侧可见黏膜下凸向腔外生长肿物,直径
图片尺寸960x1280
胃癌ct及仿真胃镜-摘自radiology,2005-06
图片尺寸440x332
胃重复畸形ct诊断与鉴别诊断
图片尺寸960x720
消化道正常影像解剖之——胃
图片尺寸639x478
上腹部ct平扫,发现胃窦小弯侧壁增厚. 建议增强ct扫描
图片尺寸750x611
ct平扫见胃大弯处长条状厚壁囊性肿块(↑); b.
图片尺寸640x633
刀锋的两侧--记一例胃巨大肿瘤
图片尺寸3024x2397
一文读懂急性胃痛ct检查表现
图片尺寸392x257
这些急腹症都与胃有关一起来看看它们的ct表现
图片尺寸395x345
胃重复畸形ct诊断与鉴别诊断
图片尺寸960x720
胃胃ct横断解剖
图片尺寸900x1815
第一次腹腔镜探查前ct检查影像,显示胃壁明显增厚,腹膜后有多处淋巴结
图片尺寸1600x1200
腹部 ct 显示胃小弯侧异物延续至胰腺颈体部
图片尺寸361x631
患者女性55岁,间歇性上腹部不适半年,行ct检查发现胃部肿块,磁共振
图片尺寸640x512
【精编完整版】消化系统影像诊断课件最新版ppt
图片尺寸1080x810
96岁超高龄胃部肿瘤成功切除不明原因乏力消瘦警惕这种癌症
图片尺寸512x512
健康科普|ct检查注意事项,全讲清楚了!
图片尺寸736x568
腹部 ct 显示胃小弯侧异物延续至胰腺颈体部
图片尺寸800x561
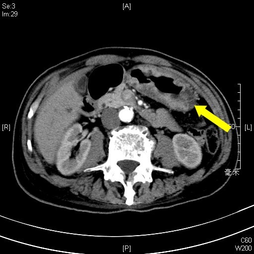
【天天读片】ct病例:女,58岁,胃部不适一个月
图片尺寸1084x751
【讨论】 评论:ct平扫见胃小弯侧胃壁一光滑肿块,相邻胃壁情况显示不
图片尺寸1080x739