胃炎ct图片

急性胃痛影像表现
图片尺寸392x257
上腹部ct平扫,发现胃窦小弯侧壁增厚. 建议增强ct扫描
图片尺寸750x611
【病例】深在性囊性胃炎1例ct影像表现
图片尺寸720x540
第一次腹腔镜探查前ct检查影像,显示胃壁明显增厚,腹膜后有多处淋巴结
图片尺寸1600x1200
腹部ct——横断面
图片尺寸999x1198
胃窦部大面积溃疡医生说是中期
图片尺寸1386x1040
急性胃痛影像表现
图片尺寸415x326
急性胃扩张ct1.jpg
图片尺寸960x541
原创胃粘液cact图片
图片尺寸512x512
急诊室故事01常年胃炎腹痛三天后胃穿孔
图片尺寸512x512
真的是被撑死了:急性胃扩张.
图片尺寸750x1332
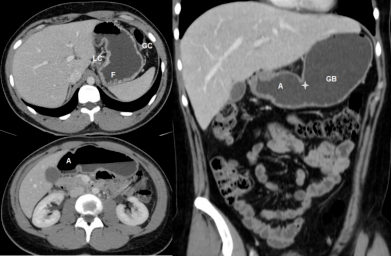
患者女性55岁,间歇性上腹部不适半年,行ct检查发现胃部肿块,磁共振
图片尺寸640x512
腹部ct,胃壁增厚.大神们有何高见啊
图片尺寸1068x620
胃胃ct横断解剖
图片尺寸900x1815
贲门小弯侧深在性囊性胃炎ct影像诊断一例
图片尺寸1080x618
急性胃痛影像表现
图片尺寸361x383
一文读懂急性胃痛ct检查表现
图片尺寸410x346
病例分享:深在性囊性胃炎 1 例
图片尺寸640x532
中医院增强ct检查注意事项
图片尺寸4032x3024
优秀病历展示活动原创急性胃炎胆石症
图片尺寸2448x3264