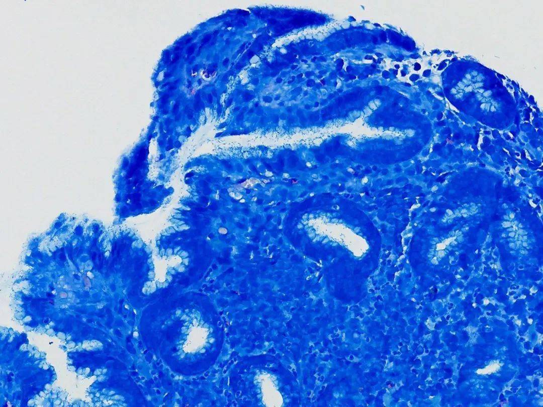
胃癌显微镜下的图片

胃底腺型胃癌
图片尺寸3067x2198
胃早癌学习笔记7-未分化型胃癌的放大内镜像
图片尺寸3072x2725
求助养的胃癌mgc803
图片尺寸3000x4000
胃早癌学习笔记7-未分化型胃癌的放大内镜像
图片尺寸3071x2616
胃早癌学习笔记7-未分化型胃癌的放大内镜像
图片尺寸3018x2585
胃癌病理who标准与日本标准对比学习笔记
图片尺寸1043x615
胃早癌学习笔记7-未分化型胃癌的放大内镜像
图片尺寸3120x4160
胃早癌学习笔记7-未分化型胃癌的放大内镜像
图片尺寸3016x2496
胃癌病理who标准与日本标准对比学习笔记
图片尺寸708x531
胃腺癌,光学显微镜
图片尺寸1200x800
放大内镜下早期胃癌的诊断和鉴别诊断学习笔记
图片尺寸720x540
出现这样的情况就是得了胃癌?这几大情况,一定要重视!__财经头条
图片尺寸353x345
(特殊染色后显微镜下的短杆状幽门螺旋菌)抵御胃病,专家让背出以下四
图片尺寸1080x810
显微镜下的胃癌细胞.
图片尺寸612x408
胃腺癌,光学显微镜
图片尺寸1200x800
的肿瘤君,差点逃过医生的肉眼,最终在显微镜下暴露出了它的本来面目
图片尺寸1000x750
胃癌病理who标准与日本标准对比学习笔记
图片尺寸892x489
胃癌细胞mgc803
图片尺寸3264x2448
胃癌病理who标准与日本标准对比学习笔记
图片尺寸708x531
内镜图谱:幽门螺杆菌阴性胃癌内镜下特征-medsci.cn
图片尺寸600x484