胃窦ct

上腹部ct平扫,发现胃窦小弯侧壁增厚. 建议增强ct扫描
图片尺寸750x611
ct:肿瘤位于胃窦后壁
图片尺寸1599x1199
只能看到位居胃窦和
图片尺寸900x1815
断层ct显示胃窦部不规则胃壁增厚(arrow),无胃周脂肪浸润,提示t2期
图片尺寸440x332
胃窦部大面积溃疡医生说是中期
图片尺寸1386x1040
平扫胃窦部病灶及肿大淋巴结
图片尺寸1080x1440
胃窦小弯胃窦小弯侧
图片尺寸640x640
女性,42岁,腹痛,黑便1周,ct扫描见胃窦部圆形块影,最佳的诊断是 ( )
图片尺寸520x450
ct诊断误区胃窦壁增厚的诊断难点及误区这几点千万注意
图片尺寸518x437
胃窦小弯侧腔内占位
图片尺寸1440x625
增强ct进一步证实为胃间质瘤,靠近胃窦部,肿瘤大小5.7×3.
图片尺寸2109x1581
胃壁增厚疾病ctmri影像表现
图片尺寸1080x810
编者注:消化道ct检查重点是要解决消化道管壁显影,在空腔脏器的容积
图片尺寸676x440
查体 辅查如图诊断 处理诊断:胃窦癌(ct3?n1 ?
图片尺寸680x1492
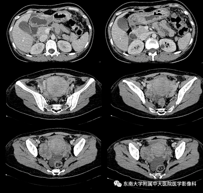
病史 女,40岁,因"确诊胃窦低分化腺癌5月余"入院 ct 增强
图片尺寸792x755
干货!一文掌握5种常见胃良性占位影像学特点和鉴别诊断
图片尺寸609x461
胃壁增厚性病变的ct表现ppt
图片尺寸800x600
胃窦小弯侧腔内占位
图片尺寸1440x601
来南翔医院就诊,在排查腹痛原因行ct检查时,发现胃窦部见一小纺锤形高
图片尺寸817x545
加重1月"入院,结合上腹部ct,胃镜,病理检查结果,诊断为:1,胃窦恶性
图片尺寸512x512