胃腺瘤病理

胃腺癌
图片尺寸1600x1200
胃癌病理图片
图片尺寸620x620
胃腺瘤或异型增生
图片尺寸2048x1536
涨知识,早期胃癌病例诊治过程全分享!
图片尺寸809x537
胃癌病理基础知识大盘点
图片尺寸955x775
讨论病例【山东省消化道早癌病理群35】
图片尺寸4608x3456
讨论病例【山东省消化道早癌病理群38】
图片尺寸4608x3456
课程笔记 |第七讲-《胃低级别上皮内瘤变诊断及鉴别诊断》
图片尺寸1080x675
病理组织学上,胃底腺型胃癌属于向胃底腺分化的分化型腺癌,确诊需通过
图片尺寸3067x2198
讨论病例【山东省消化道早癌病理群38】
图片尺寸4608x3456
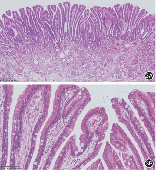
日本胃腺瘤及早期高分化腺癌的病理诊断
图片尺寸515x563
讨论病例【山东省消化道早癌病理群137】
图片尺寸4032x3024
胃底病变esd 管状腺癌讨论病例【山东省消化道早癌病理群】
图片尺寸3968x2976
讨论病例【山东省消化道早癌病理群137】
图片尺寸4032x3024
讨论病例【山东省消化道早癌病理群149】
图片尺寸4608x3456
讨论病例【山东省消化道早癌病理群137】
图片尺寸4032x3024
讨论病例【山东省消化道早癌病理群137】
图片尺寸4032x3024
07【91360消化病理沙龙病例讨论322】
图片尺寸3120x4160
患者术后病理回报.上下切端均未见癌.多枚淋巴结转移.
图片尺寸2667x2000
讨论病例【山东省消化道早癌病理群137】
图片尺寸4032x3024