胆囊炎ct图

ct提示胆囊结石伴胆囊炎
图片尺寸1080x921
慢性胆囊炎并胆囊结石ct病例图片影像诊断分析
图片尺寸600x706
ct胆囊炎,未见结石.
图片尺寸1599x1199
胆囊炎 cholecystitis - 知乎
图片尺寸996x780
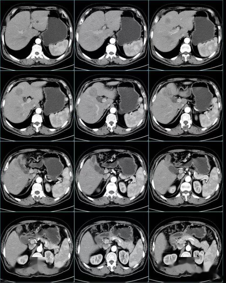
腹部ct提示:胆囊结石胆囊炎,右肾多发结石.
图片尺寸2000x2667
腹部ct提示:胆囊结石(箭头处)
图片尺寸2000x2667
急性胆囊炎
图片尺寸500x500
上腹部ct
图片尺寸2000x2666
案例分析-急性梗阻性化脓性胆管炎
图片尺寸554x381
3.17外院ct示化脓性胆囊炎,肝脏结构完整,腹腔没有积血
图片尺寸1280x960
黄色肉芽肿性胆囊炎影像1例
图片尺寸800x1000
胆道疾病案例分析慢性胆囊炎
图片尺寸554x468
第六章腹部第三节胆管系统病变一胆道炎症四急性梗阻性化脓性胆管炎丨
图片尺寸885x672
慢性胆囊炎并胆囊结石ct病例图片影像诊断分析
图片尺寸600x901
读书笔记胆囊炎胆囊息肉胆道结石ct分析
图片尺寸746x614
黄色肉芽肿性胆囊炎
图片尺寸1599x1199
ct 扫描提示胆囊扩张(箭头),胆囊壁增厚,胆汁淤积,胆囊周围炎症(图片
图片尺寸640x427
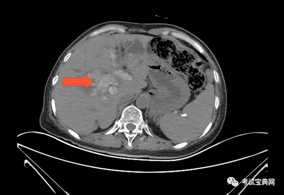
黄色肉芽肿性胆囊炎病例!
图片尺寸720x903
请各位大咖帮忙看看片子本地诊断胆囊肿大但我觉得ct片不大好看请专家
图片尺寸2976x3968
刘荣芝-ct-急性梗阻性化脓性胆囊炎胆囊颈部结石.jpg
图片尺寸486x400