胆管ct

胆道系统疾病多层螺旋扫描ct诊断(一)
图片尺寸1080x810
【共享】先天性胆管囊状扩张症的ct表现
图片尺寸1548x3092
腹部ct可见明显胆总管扩张增粗,其内多发结石,肝内胆管也伴随扩张
图片尺寸1600x1200
ct横断面可见结石自下而上填满胆总管.
图片尺寸1202x1200
术前增强ct检查提示胆管胰管均扩张
图片尺寸1440x1080
急腹症影像:胆道结石ct表现!
图片尺寸1920x1080
ct平扫显示胆总管内结石,支直径约12mm
图片尺寸1600x1200
胆道系统疾病多层螺旋扫描ct诊断(一)
图片尺寸1080x810
行ct提示胆总管结石并胆道梗阻.(如图3)
图片尺寸1080x782
术前ct提示肝内胆管多发结石第一次经皮经肝胆道镜碎石取石(ptcsl)术
图片尺寸557x439
胆管炎性狭窄_发病原因_治疗方式 - 好大夫在线
图片尺寸1080x827
(3)ct检查胆囊大小约5.4x4.2cm,壁厚约0.
图片尺寸554x468
ct检查可见胆总管扩张,胆总管结石,胆囊结石,胆囊壁增厚水肿.
图片尺寸2667x2000
ct胆囊炎,未见结石.
图片尺寸1599x1199
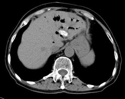
图1(ct):肝内胆管扩张,积气,大量高密度团块,以左肝管为甚.
图片尺寸404x319
肝左叶胆管癌
图片尺寸640x480
2017年术前ct
图片尺寸2666x2000
慢性胆囊炎并胆囊结石ct病例图片影像诊断分析_经典病例_医脉通
图片尺寸600x901
电脑断层扫瞄,诊断远端总胆管结石合并急性胆管及胆囊炎.
图片尺寸2496x1346
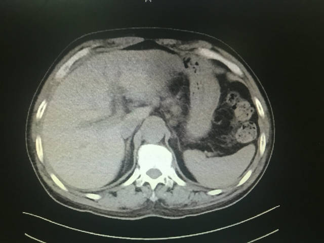
这是术前ct提示肝内外胆管结石
图片尺寸1500x1500