胆结石ct

胆系结石上腹部ct平扫胆囊
图片尺寸1080x1207
部分胆囊结石ct可显影
图片尺寸828x621
特殊的胆囊结石,你可别漏诊哦
图片尺寸1080x1512
图2患者的ct发现胆囊内数枚结石,高亮显影.
图片尺寸3264x2448
上腹ct见胆囊结石,胆囊明显胀大.
图片尺寸3968x2976
而且ct片显示,其胆结石达37mm.
图片尺寸1280x960
混合性结石胆色素结石ct表现为高密度,ct值在50hu以上,单发或多发
图片尺寸905x679
胆囊结石_ct检查
图片尺寸1959x1200
女子胸口疼全身发冷冒冷汗就医才发现竟是胆囊结石所致
图片尺寸1080x810
普外科完成我院首例保胆取石术
图片尺寸1600x1200
胆囊结石的检查
图片尺寸1191x832
一例充满型胆囊结石的保胆治疗
图片尺寸1920x1080
患者入院时腹部ct示:胆囊结石,急性胆囊炎.
图片尺寸1080x694
我妈妈在18年前因胆结石,把胆切除!在11年前做了一次胆结石!
图片尺寸581x1032
急腹症影像:胆道结石ct表现!
图片尺寸1920x1080
罕见巨大胆管结石一例
图片尺寸3968x2976
慢性胆囊炎并胆囊结石ct病例图片影像诊断分析
图片尺寸600x917
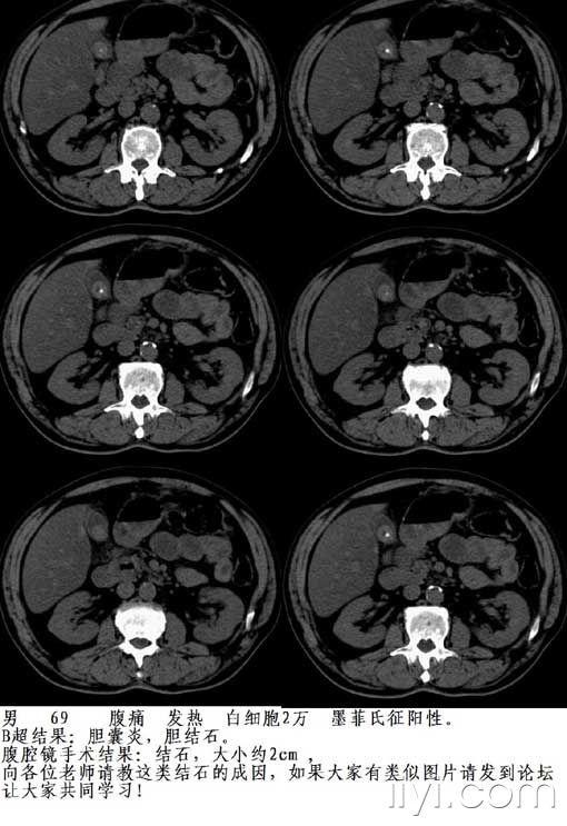
【共享】一例腹腔镜证实的特殊类型胆囊结石,请大家指教(如有类似图片
图片尺寸510x743
男子患胆结石不愿切胆保守治疗 没想到竟出现这些症状
图片尺寸576x452
胆囊结石竟让朋友患上胆囊癌?同患结石的他慌了
图片尺寸576x431