胎儿静脉导管a波倒置

静脉导管a波反向_胎儿_母婴_孕产经验
图片尺寸1048x986
胎儿静脉导管a波反向
图片尺寸768x1024
产科胎儿静脉导管频谱图片
图片尺寸590x408
13周孕记 nt检查静脉导管a波反向 正准备开始吃叶酸备孕发现怀孕了.
图片尺寸1444x1280
胎儿正常静脉系统超声检查
图片尺寸661x198
nt归来,静脉导管a波反向吓到我
图片尺寸750x1000
从生理来说,脐带其实是三根血管,一根大静脉从胎盘流至胎儿,二根小
图片尺寸640x478
胎儿静脉导管
图片尺寸920x1302
其频谱如下图所示:大多数胎儿在查nt的时候就可以观察到静脉导管了,我
图片尺寸640x424
孕12周nt检查
图片尺寸1080x705
静脉导管a波反向脐静脉搏动
图片尺寸640x438
孕期记录13周
图片尺寸1080x540
孕12周的双羊双绒宝贝
图片尺寸1080x1072
2,鼻骨未显示,静脉a波倒置.
图片尺寸1080x545
三血管及气管切面 短轴切面(心室及流出道) 主动脉弓 导管弓 上腔静脉
图片尺寸640x835
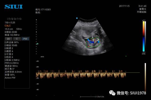
胎儿静脉导管血流频谱
图片尺寸2466x2000
胎儿静脉导管缺如,怎么办呢?
图片尺寸500x648
湘雅附一张卫社教授 宫颈环扎实录2
图片尺寸1080x810
胎儿心脏超声产前诊断规范
图片尺寸1200x2134
各位宝妈孕妈们,大家有没有早期检查胎儿静脉导管a波反向后期翻盘没
图片尺寸1688x3000