胎瘤
![大家看看这例畸胎(高能预警,介意者慎入) [病例帖]](https://imgs.wantubizhi.com/img/735A5D1F980B52A636CC46F12F2D1A7337E13D43842183E78EE61D7707A0A76F3C73C17F9EE4C56900E86F195984F641052D35C2D3684B2D5A92CA7104DAE0C34F5CA6BD1636463C79244DFD68C18347C8C8DBD3EEC06E5066C941392F4C0975)
大家看看这例畸胎(高能预警,介意者慎入) [病例帖]
图片尺寸640x480
崎胎瘤
图片尺寸375x300
取出崎胎瘤,有胡子有牙齿
图片尺寸275x270
卵巢成熟畸胎瘤
图片尺寸500x450
2019年我跟畸胎瘤那点事
图片尺寸1536x2048
是崎胎瘤吗?
图片尺寸614x460
记录一下:无性生活20岁,十厘米卵巢畸胎瘤扭转,.
图片尺寸1080x810
畸胎瘤是一种什么样的肿瘤
图片尺寸568x409
好端端的怀孕怎么会成畸胎瘤 不可忽视的畸胎瘤危害
图片尺寸448x252
一例17岁女孩右纵隔巨大畸胎瘤
图片尺寸680x907
腹腔镜回盲部间质瘤切除
图片尺寸1199x1599
畸胎瘤严重吗是怀了怪胎吗
图片尺寸700x502
经过医生的仔细检查,孩子吐出的东西正是畸胎瘤.
图片尺寸472x333
一怀孕就发现10公分的畸胎瘤(上)
图片尺寸1080x1014
剖腹产同时拿掉畸胎瘤 刨妇产取畸胎瘤危险嘛
图片尺寸400x324
但畸胎瘤生长过大,除会对生育造成一定影响,还会导致急腹症的发生.
图片尺寸3024x4032
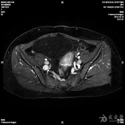
盆腔巨大囊性崎胎瘤mri
图片尺寸512x512
罕见食管畸胎瘤1例
图片尺寸600x1172
盆腔巨大囊性崎胎瘤mri
图片尺寸512x512
金华一7岁女孩得了卵巢畸胎瘤现孩子已顺利康复出院
图片尺寸629x353