胰头

医生将细长的内镜插入胃里,首先通过内镜头端的摄像头观察消化道管壁
图片尺寸513x269
最下端的开关会打开,胆囊收缩把仓库里面的胆汁通过胆管头诺匠Φ
图片尺寸640x642
本病男性多见,40岁以上好发,肿瘤发生于胰腺头部为多,约占70%-80%.
图片尺寸808x1838
突然暴瘦,警惕胰腺"亮红灯"_手术_患者_腹腔镜
图片尺寸672x502
如何警惕胰腺癌?看看这些症状!_患者_恶性肿瘤_诊断
图片尺寸1700x1129
误诊漏诊率很高这病真是从头到脚无处不在
图片尺寸825x464
高水平医院建设肇庆市一医院成功实施高难度腹腔镜保留十二指肠胰头
图片尺寸1080x810
在胰头下缘顺着结肠中静脉显露肠系膜上静脉,之后于肠系膜上静脉侧壁
图片尺寸640x360
误诊漏诊率很高这病真是从头到脚无处不在
图片尺寸741x704
财经头条
图片尺寸640x435
腹部ct:轻度急性胰腺炎表现,胰头充盈,无明确肿块
图片尺寸960x652
术后病理诊断为胰腺实性假乳头状瘤
图片尺寸549x643
18年45岁男子频繁腹泻肠镜显示正常直到换了检查项目是癌症
图片尺寸640x436
直肠癌根治性放疗需要几次如何减轻副作用
图片尺寸750x500
腹部增强ct显示幽门前胃窦和十二指肠球部壁增厚,胰头和胃窦之间脂肪
图片尺寸479x479
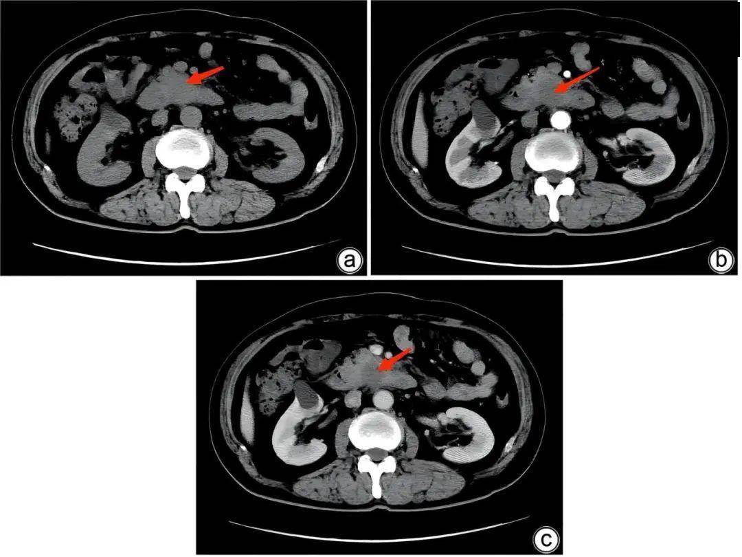
(a) 对比增强ct显示不均质强化的胰头肿块(箭).
图片尺寸1067x767
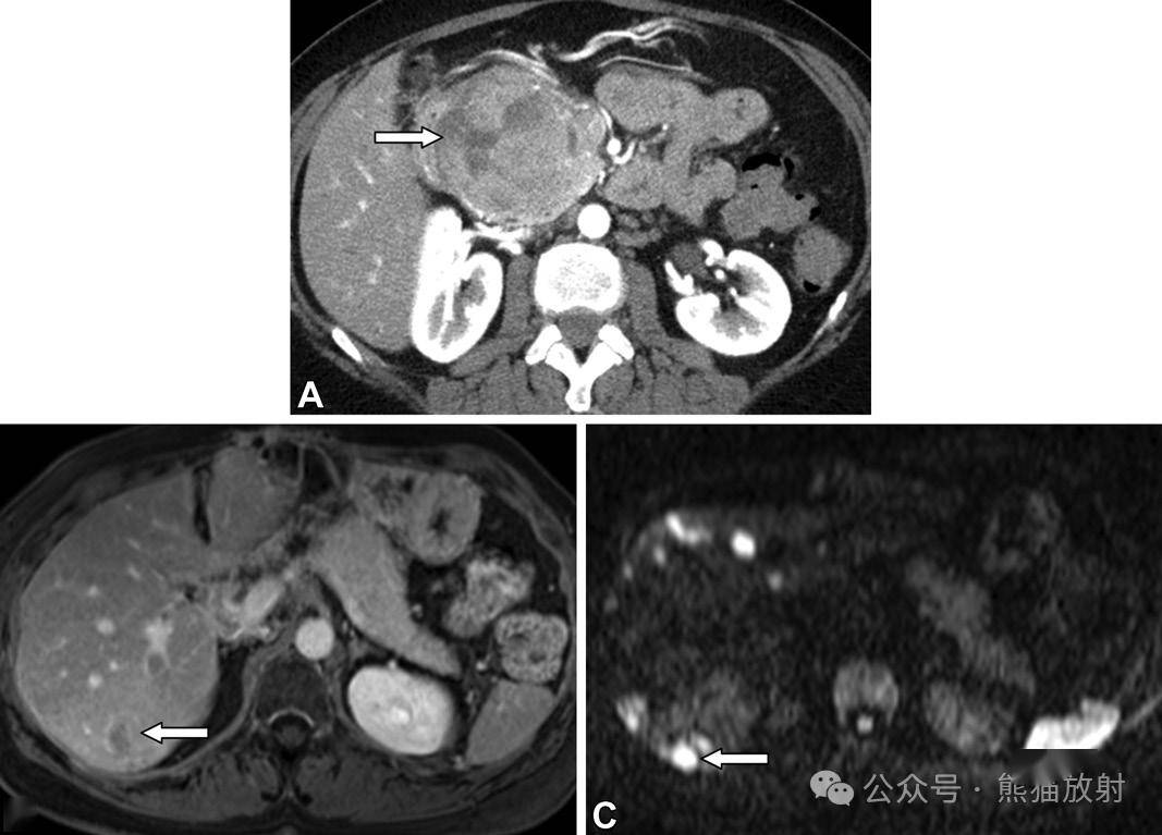
病例报告|胰腺内副脾误诊2例_患者_肿瘤_尾部
图片尺寸1063x797
病例报告|胰腺内副脾误诊2例_患者_肿瘤_尾部
图片尺寸1080x810
胰腺囊性病变及相关恶性肿瘤丨影像评估_信号_显示_女性
图片尺寸1067x764
难得一见影像案例医疗圈热议的胃梅毒造影和ct表现如何呢
图片尺寸716x679