胰腺炎x线影像

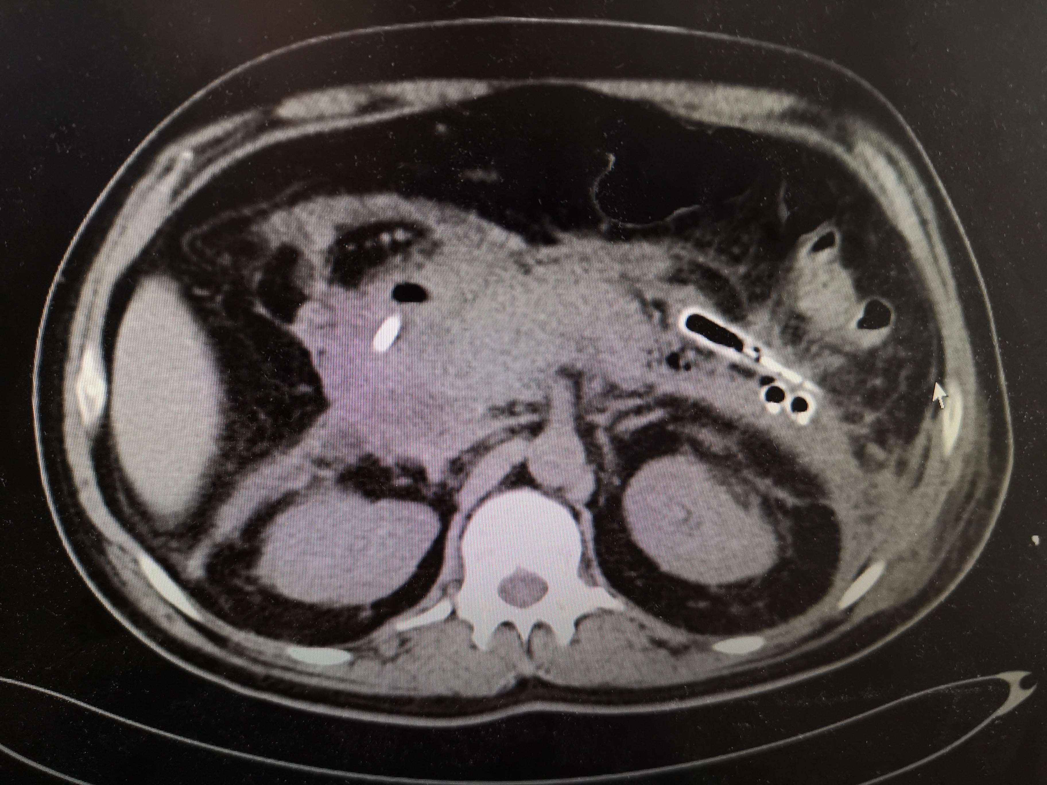
每周诊疗笔记之急性坏死性胰腺炎后巨大胰腺假性囊肿伴胰腺坏.
图片尺寸3648x2736
【交流】慢性胰腺炎片子
图片尺寸3264x2448
急性胰腺炎影像
图片尺寸782x300
每周诊疗笔记之慢性胰腺炎治疗 - 好大夫在线
图片尺寸3648x2736
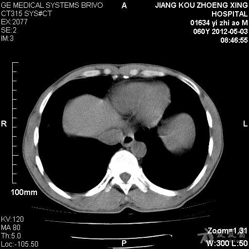
影像医学和核医学讨论版 -丁香园论坛
图片尺寸1503x1594
急性胰腺炎需警惕 - 好大夫在线
图片尺寸3264x2448
急性胰腺炎治疗后的影像表现
图片尺寸532x977
胰腺炎? - 医学影像学讨论版 - 爱爱医医学论坛
图片尺寸512x512
急性胰腺炎治疗后的影像表现
图片尺寸532x557
急性胰腺炎需警惕 - 好大夫在线
图片尺寸3264x2448
第一节急性胰腺炎
图片尺寸497x410
病例学习:胰腺炎影像诊断技巧
图片尺寸640x564
自身免疫性胰腺炎(aip)影像学表现_全网_解剖图_系统
图片尺寸1080x608
急性胰腺炎的临床表现和影像学有哪些表现
图片尺寸542x425
普外二科之 —— 急性胰腺炎
图片尺寸2000x2667
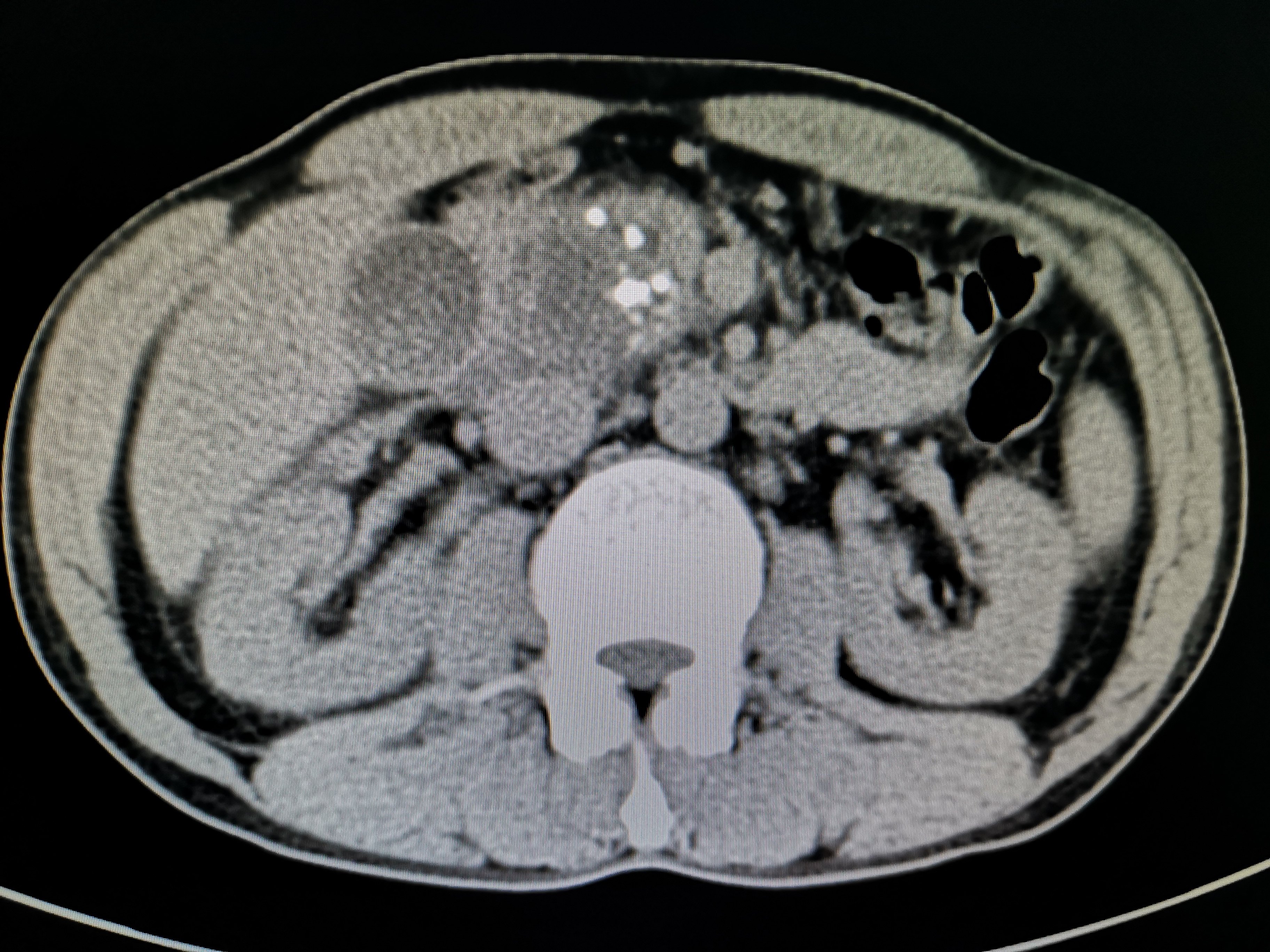
每周诊疗笔记之急性坏死性胰腺炎 - 好大夫在线
图片尺寸3648x2736
是诊断胰腺炎最重要的影像学检查.
图片尺寸512x478
急性胰腺炎一个例子告诉你要规范治疗
图片尺寸640x480
腹部x线平片和腹部超声检查很有必要,另外应查血肝肾功,胰腺炎,急性
图片尺寸500x501
省立影像读片胰腺病变2109
图片尺寸720x540