胰腺瘤

腹腔镜保留功能的胰腺肿瘤局部切除术是胰腺低度恶性肿瘤患者的最好
图片尺寸1600x900
胰腺肿瘤
图片尺寸1600x1200
巨大胰腺肿瘤一期手术完整切除,术后可不必化疗 - 好大夫在线
图片尺寸610x457
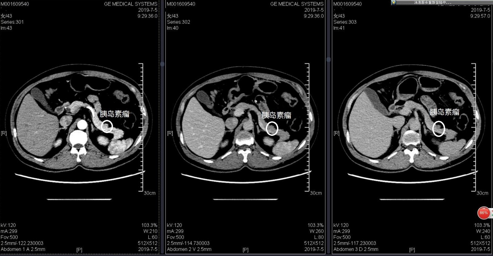
胰岛素瘤是什么病胰腺神经内分泌肿瘤是胰腺癌吗
图片尺寸1600x833
brjsurg恶性胰腺实性假乳头状瘤的手术方案
图片尺寸640x467
胰腺实性假乳头状瘤
图片尺寸1600x900
西安交大一附属胰腺肿瘤mdt团队成立十周年 公益义诊造福患者
图片尺寸1100x642
是否需要手术切除?_胰腺囊肿_介绍_治疗方式 - 好大夫在线
图片尺寸777x570
12岁女孩胰腺头部巨大实性假乳头状瘤成功手术治愈 - 好大夫在线
图片尺寸5120x3840
能不能保留脾脏?_胰腺癌_介绍_治疗方式 - 好大夫在线
图片尺寸1440x1080
胰腺癌诊疗规范(2018年版)
图片尺寸450x338
胰腺肿瘤的ct诊断(二)
图片尺寸960x720
胰腺导管内状粘液瘤ipmn1例
图片尺寸1080x1920
胰腺实性假乳头状瘤
图片尺寸554x416
胰腺实性假乳头状肿瘤
图片尺寸300x300
胰腺囊性疾病诊治指南(2015) - 好大夫在线
图片尺寸500x500
胰头癌手术后中医药治疗的优势_胰腺癌治疗
图片尺寸440x356
坚持就有奇迹聊聊胰腺实性假乳头状瘤
图片尺寸640x479
胰腺浆液性囊腺瘤
图片尺寸960x540
外院ct提示胰腺肿瘤术后诊断为小肠间质瘤定位很重要
图片尺寸964x602