胰腺B超

67虚惊一场胰腺占位竟是它
图片尺寸968x748
急性出血坏死性胰腺炎恨你有理有据
图片尺寸2976x3968
67虚惊一场胰腺占位竟是它
图片尺寸1076x747
67迎难而上当做必做疫情下的超人特攻队
图片尺寸547x225
67虚惊一场胰腺占位竟是它
图片尺寸1080x356
沟槽区胰腺炎丨临床及影像表现
图片尺寸634x1432
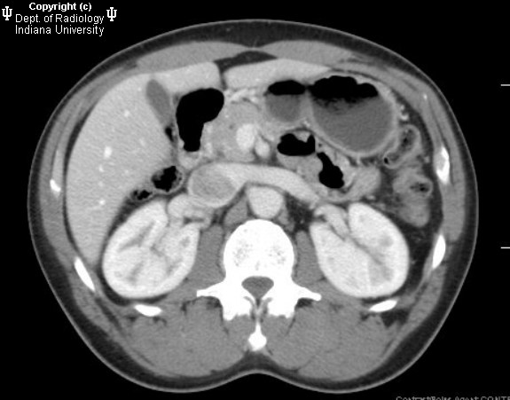
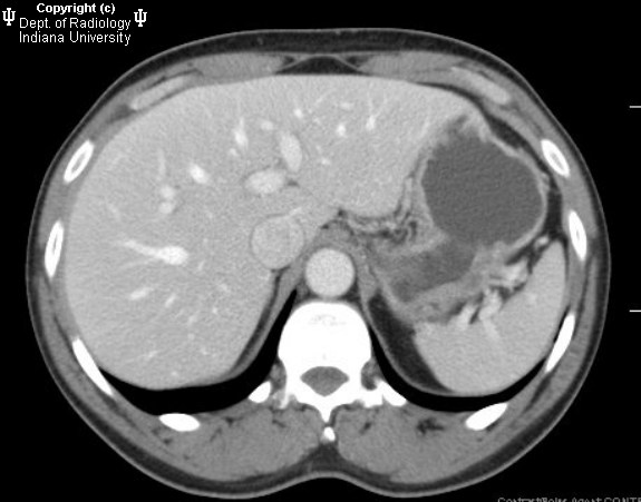
胰腺假性囊肿
图片尺寸268x227
松江医生为你解答→|急性胰腺炎_新浪财经_新浪网
图片尺寸640x566
自身免疫性胰腺炎
图片尺寸139x137
做了b超检查,怀疑是肝癌,后经过三甲医院再次检查,初步诊断为胰腺癌
图片尺寸1080x1441
医生提醒:囊肿若在这3个地方要警惕_检查_胰腺_症状
图片尺寸1280x862
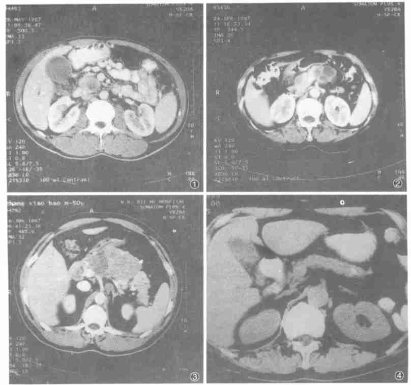
p>胰腺囊腺瘤和囊腺癌,英文名:cystadenoma and cystadenocarcinoma
图片尺寸575x451
p>胰腺囊腺瘤和囊腺癌,英文名:cystadenoma and cystadenocarcinoma
图片尺寸575x451
实用胰腺疾病超声诊断学
图片尺寸268x403
胰腺癌转移肝癌
图片尺寸808x756
临床医生说科普丨胰腺癌怎么预防
图片尺寸398x353
东"奥"会疑难病例讨论会病例分享(二)_胰腺
图片尺寸1011x652
无锡市第三人民医院
图片尺寸268x567
新区中心医院护理团队在b超引导下为重症急性胰腺炎患者成功置入鼻
图片尺寸617x654
imdt专栏 | 两例重症急性胰腺炎死亡的临床病例报告与多学科团队讨论
图片尺寸370x278