胶质瘤CT

去当地医院就诊,行头颅ct检查示:右侧额叶恶性肿瘤,转移瘤或胶质瘤
图片尺寸570x756
脑胶质瘤的手术和术后放射治疗疗效追踪 - 好大夫在线
图片尺寸1231x933
胶质瘤手术一例
图片尺寸2000x2667
不少胶质瘤早期没有任何症状,有条件的可以体检时加做头颅ct或核磁,如
图片尺寸1824x1368
上皮样胶质母细胞瘤一例(2018华东胶质瘤mdt病例二)--浙二神外周刊(第
图片尺寸612x577
阔然开朗高文昌副教授团队胶质母细胞瘤1例诊疗分享
图片尺寸1080x358
贺晓生教授胶质瘤手术治疗实例展播
图片尺寸930x523
功能区胶质瘤_胶质瘤 - 好大夫在线
图片尺寸800x614
上皮样胶质母细胞瘤一例(2018华东胶质瘤mdt病例二)--浙二神外周刊(第
图片尺寸617x512
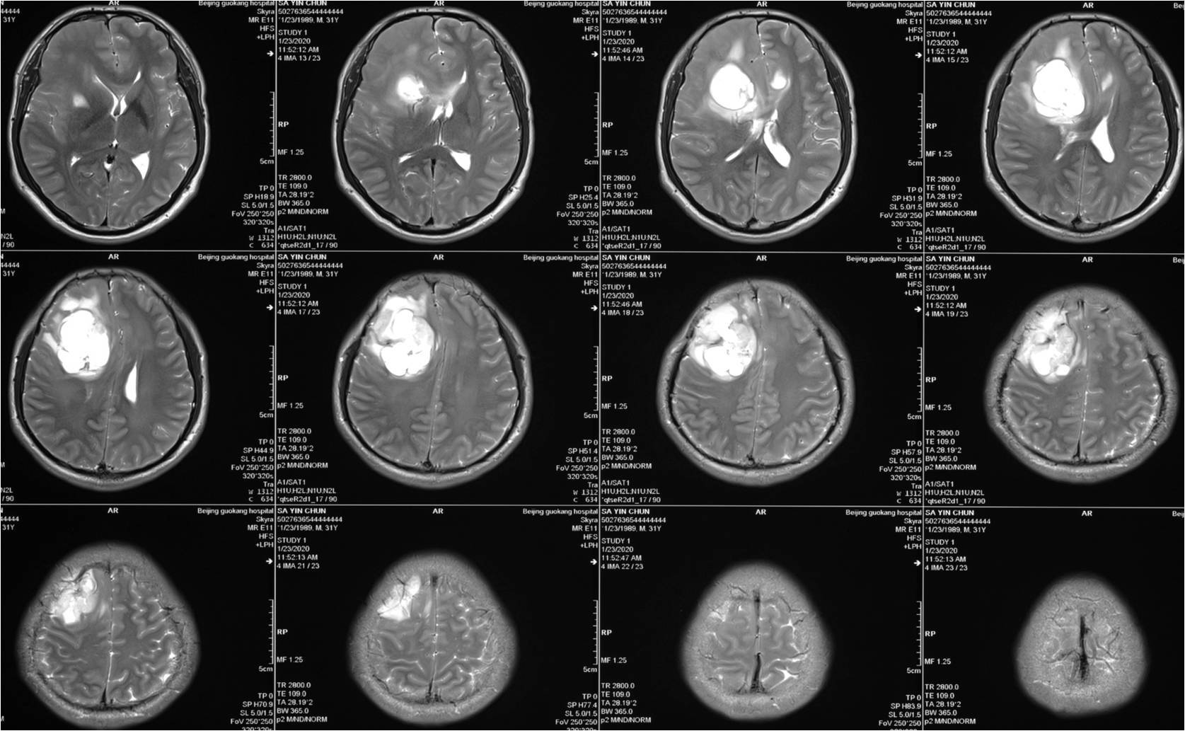
高级别胶质瘤的那些事(省中神外病例分享 第11期)
图片尺寸1488x2372
「病例快讯」——(第8期):肿瘤三组之高级别胶质瘤系列
图片尺寸1916x1199
颞叶内侧恶性胶质瘤
图片尺寸3648x2736
双额叶胼胝体胶质瘤_胶质瘤 - 好大夫在线
图片尺寸800x774
高级别胶质瘤的那些事(省中神外病例分享 第11期)
图片尺寸2132x3344
「病例快讯」——(第8期):肿瘤三组之高级别胶质瘤系列
图片尺寸1799x1199
高级别胶质瘤的扩大切除 - 好大夫在线
图片尺寸1675x1033
「病例快讯」——(第8期):肿瘤三组之高级别胶质瘤系列
图片尺寸1772x1199
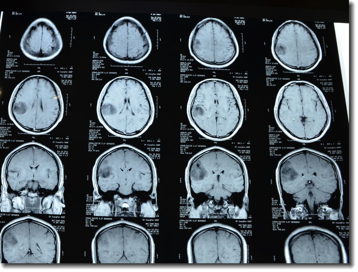
大家帮看看胶质瘤
图片尺寸2304x3072
右额叶巨大占位胶质瘤可能
图片尺寸2592x1944
胶质瘤三级沿脑沟全切
图片尺寸2667x2000