胸口纵膈肿瘤

前纵隔肿瘤 胸腔镜下纵隔肿瘤切除 - 好大夫在线
图片尺寸2304x1728
陈女士在一次意外事故中摔倒,当地医院ct检查提示纵隔占位(肿瘤),因
图片尺寸800x600
宁波一院胸外科顺利切除颈胸交界巨大纵隔肿瘤 - 好大夫在线
图片尺寸1200x1600
成功运用ct引导下右肺及纵隔肿瘤碘-125粒子植入术,为一名罕见nut癌
图片尺寸500x273
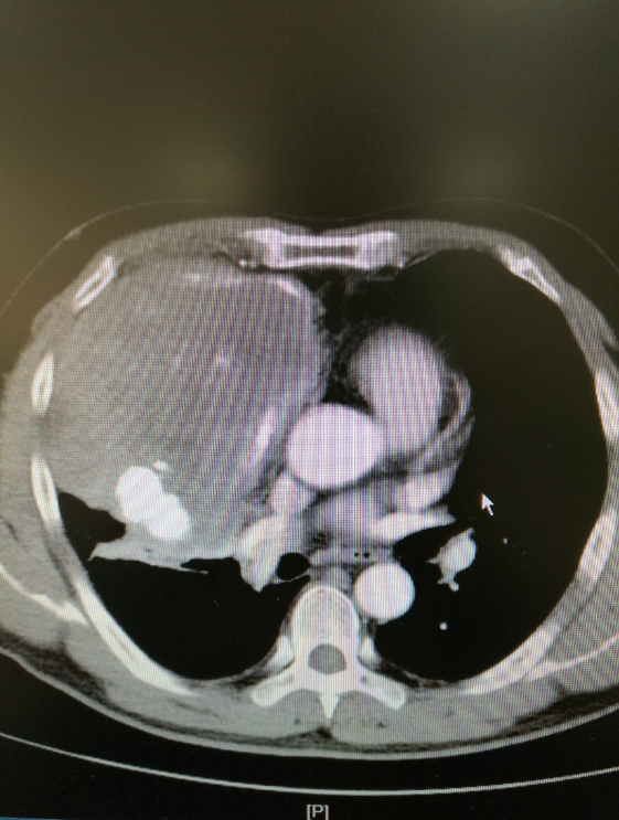
巨大肿瘤已经压迫心脏,大血管,导致病人纵隔向左移位来胸科医院就医之
图片尺寸900x577
微创伤纵隔肿瘤手术
图片尺寸471x348![【求助】前纵隔肿瘤 [病例帖]](https://imgs.wantubizhi.com/img/ADDA3C5D760C6828B77B505A29D43E83CC5F4123E32C04A49F42E939E95C424A04EFBF030313ABF30F86434616ABD99DC31DCC9C68CB3A8C0DA84B1A741801A5F404120387ECDC44E53FAF930DB9C1C8840589E136206A2754E81F51E3ED1504)
【求助】前纵隔肿瘤 [病例帖]
图片尺寸1479x1908
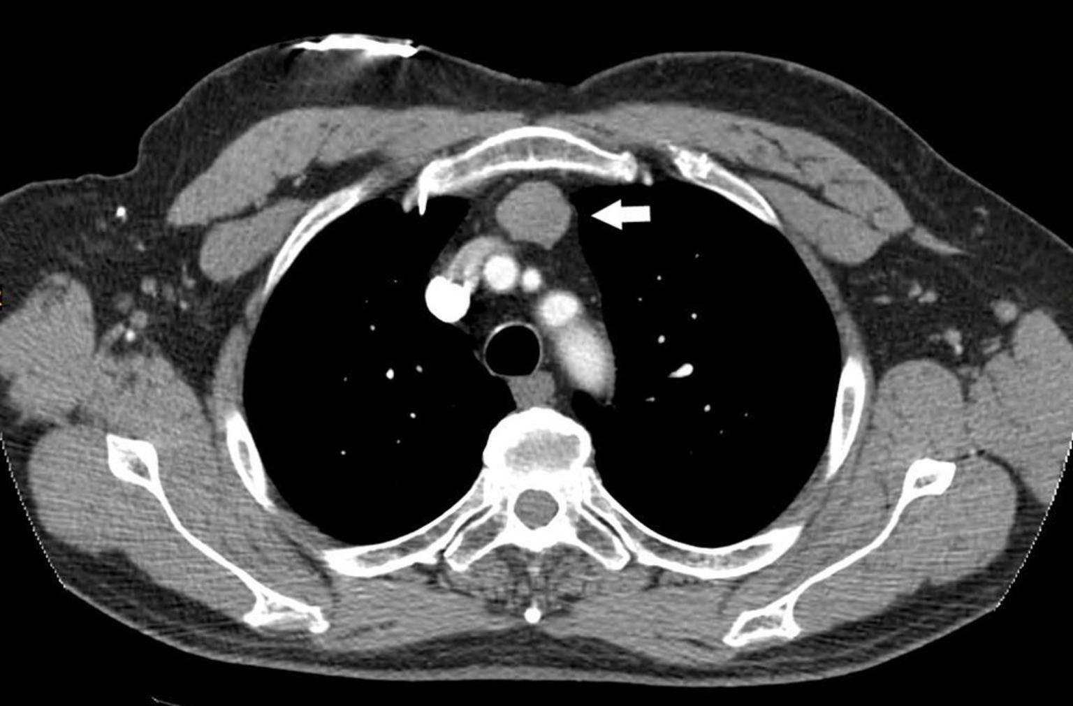
箭头所指为巨大纵隔肿瘤
图片尺寸1080x810
我院中西医结合外科胸外团队完成1例巨大纵膈肿瘤切除手术
图片尺寸561x743
看图说肺前纵隔肿瘤胸腺瘤
图片尺寸1536x1011
纵隔肿瘤的快速康复 - 好大夫在线
图片尺寸4000x3000
【病例讨论】一例前上纵隔肿瘤治疗
图片尺寸2961x1822
近期,钱奶奶到杭州市红十字会医院体检复查ct,发现五年前的前纵隔肿瘤
图片尺寸634x474
不可轻视的前纵隔肿块胸外科剑突下单孔微创手术治疗胸腺瘤
图片尺寸984x752
前纵隔处的肿瘤已压迫到旁边的心脏.通讯员供图
图片尺寸600x450
纵隔孤立型纤维瘤一例 - 好大夫在线
图片尺寸1440x1080
"小"胸腔,"大"肿瘤——我院胸外科完成了92例胸腔镜下纵隔肿瘤切除
图片尺寸835x660
纵隔肿瘤是胸腔内常见的一类肿瘤,种类繁多,发现尽早切除,微创 - 抖音
图片尺寸1920x1440
纵膈肿瘤-术前ct-手术标本
图片尺寸4288x3216
患者,女性,73岁,咳嗽,咳痰10余天,在当地医院行平扫诊断为纵膈肿瘤
图片尺寸5120x5120