胸腺增生

乳腺增生
图片尺寸800x1144
一文读懂胸腺增生
图片尺寸894x598
乳腺增生如何治中药治疗乳腺增生效果好
图片尺寸644x376
女性乳腺增生检查方法-美心体检网
图片尺寸450x263
胸腺增生——潘军平
图片尺寸640x675
男性乳腺增生症_男性乳房肥大_疾病介绍_介绍 - 好大夫在线
图片尺寸323x493
丨康复馆丨针灸治疗乳腺增生症
图片尺寸640x434
女性患有乳腺增生能否按摩?医生给出准确答案,需从3方面预防!
图片尺寸300x294
【图】双侧乳腺小叶增生危害大么 此病发作的症状揭露
图片尺寸370x450
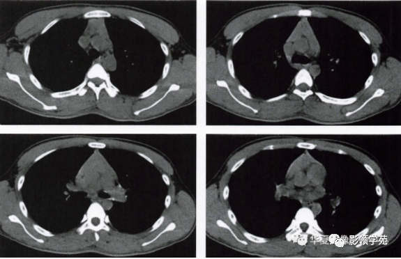
【影像基础】胸腺增生
图片尺寸895x578
胸腺增生——潘军平
图片尺寸640x653
胸腺增生_医学界-助力医生临床决策和职业成长
图片尺寸575x372
什么是乳腺增生,乳腺增生病的治疗方法有哪些?
图片尺寸419x247
女性乳腺增生病变的图片
图片尺寸800x970
【健康宣教】经常乳房胀痛?你可能得了乳腺增生
图片尺寸720x459
胸腺增生还是胸腺瘤
图片尺寸552x736
乳腺增生?只能说明你有一双懒惰的双手!(视频)
图片尺寸2048x2368
【读片】胸部ct,青年男性,胸腺区密度增高,考虑是什么各位老师麻烦
图片尺寸1280x746
问题都会暗示身体中的健康问题,考虑有可能是增生导致部位气血不足
图片尺寸800x454
抓住秋后一伏治疗你的乳腺增生
图片尺寸400x294