胸腺的ct位置图片

详尽的胸部ct影像示意图
图片尺寸583x341
壹页| 胸腺增生的ct表现
图片尺寸427x254
掌握胸部 ct 影像,你只差这一个图谱的距离
图片尺寸640x480
胸ct发现前纵隔或胸腺区病变怎么办?
图片尺寸657x478
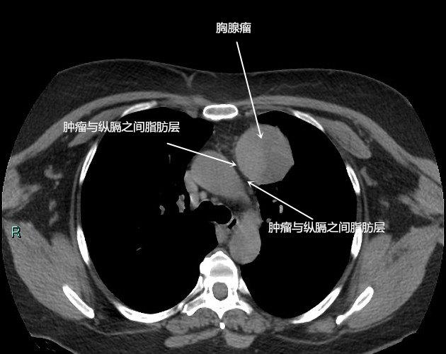
增强ct是否能判断胸腺瘤是良性还是恶性的
图片尺寸630x500
详尽的胸部ct影像示意图
图片尺寸580x342
增强ct是否能判断胸腺瘤是良性还是恶性的
图片尺寸1087x588
胸部纵隔窗ct高清解剖图谱,附带详细标注
图片尺寸640x670
大手术小切口 九江学院附属医院完成一例全腔镜下巨大胸腺瘤切除术
图片尺寸500x325
增强ct是否能判断胸腺瘤是良性还是恶性的
图片尺寸859x519
图左红框处灰色部分为胸腺瘤
图片尺寸2030x1020
胸腺增生——潘军平
图片尺寸640x675
详尽的胸部ct影像示意图
图片尺寸532x335
正常和异常胸腺丨临床和影像表现
图片尺寸450x350![【读片】胸腺上皮肿瘤的ct表现小结 [病例帖]](https://imgs.wantubizhi.com/img/A1A61BAA66193547F3A6DD7D8EE527E98299EBD9727872EB6BCF8301E7E4B224D5C560854DE5DD5DA7F5740B4F320A5B62CDF44CFEDB2FD0D93F0A56EBC6AFAB7AEE70DA152A5353B17AE932E25D6EC122A7E2FD3595DE5EF7D82B07F45B4077)
【读片】胸腺上皮肿瘤的ct表现小结 [病例帖]
图片尺寸640x1066
胸腺增生诊断明确吗?
图片尺寸4208x2368
前上纵隔小结节不能忽视四年后长成大胸腺肿瘤
图片尺寸660x321
增强ct是否能判断胸腺瘤是良性还是恶性的
图片尺寸454x579
图2.切除的胸腺瘤图3.术后3年复查的肺ct
图片尺寸573x295
【读片】胸部ct,青年男性,胸腺区密度增高,考虑是什么各位老师麻烦
图片尺寸1281x747