胸腺肿瘤

胸腺瘤微创手术治疗 - 好大夫在线
图片尺寸1080x1440
在左侧胸腔纵隔处有一个肿瘤,已经有两三厘米那么大,初步考虑是胸腺瘤
图片尺寸1080x1080
化生型胸腺瘤的临床表现及处理方案_胸腺瘤_症状表现_治疗方式 - 好
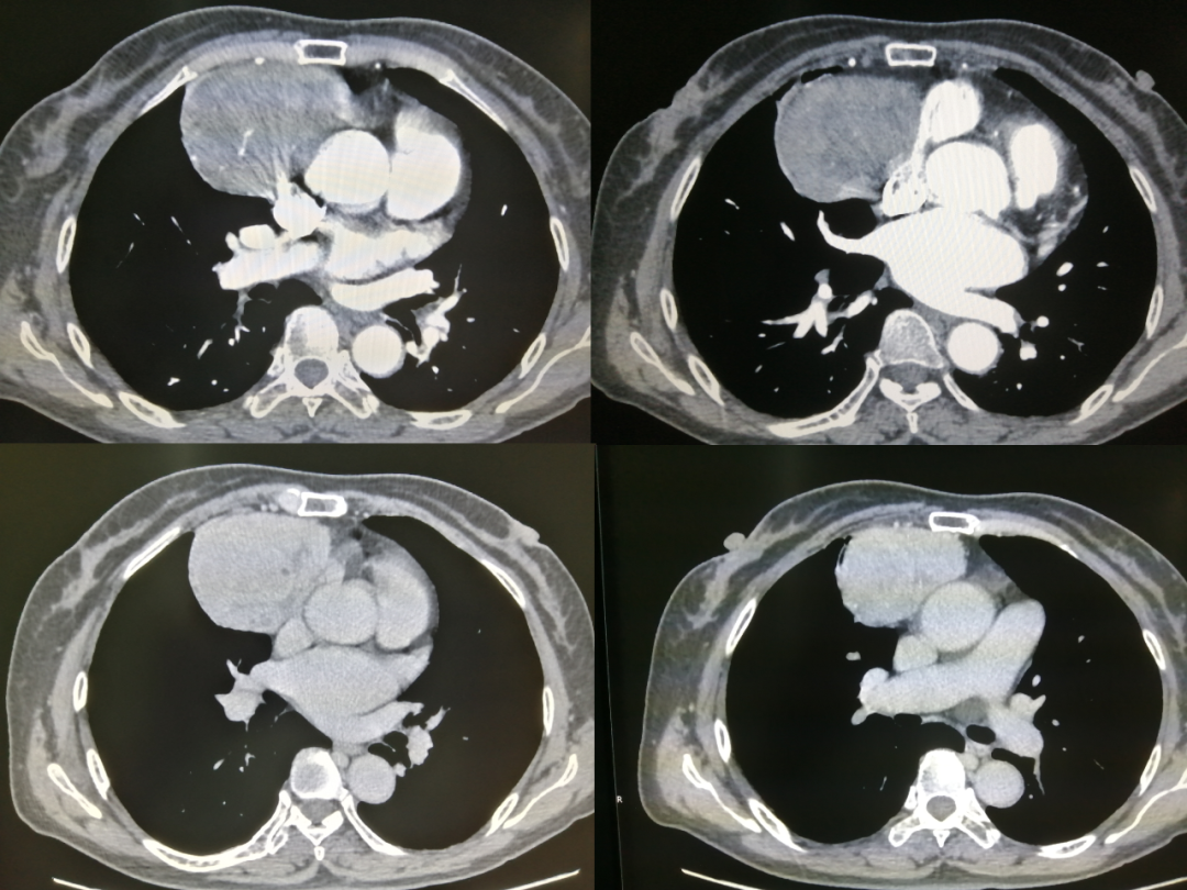
图片尺寸4000x3000![【读片】胸腺上皮肿瘤的ct表现小结 [病例帖]](https://imgs.wantubizhi.com/img/A1A61BAA66193547F3A6DD7D8EE527E98299EBD9727872EB6BCF8301E7E4B224D5C560854DE5DD5DA7F5740B4F320A5B62CDF44CFEDB2FD0D93F0A56EBC6AFAB7AEE70DA152A5353B17AE932E25D6EC122A7E2FD3595DE5EF7D82B07F45B4077)
【读片】胸腺上皮肿瘤的ct表现小结 [病例帖]
图片尺寸640x1066
巨大胸腺肿瘤微创手术 剑突下胸腔镜全胸腺切除术,切除全胸腺, - 抖音
图片尺寸1431x1080
胸痛,胸闷,咳嗽快速加重?警惕胸腺瘤
图片尺寸574x382
胸腺瘤_胸腺瘤_介绍_检查_治疗方式 - 好大夫在线
图片尺寸634x725
胸腺肿物
图片尺寸1356x1351
图2,切除的巨大侵袭性胸腺肿瘤,侵透心包本文是余振版权所有,未经授权
图片尺寸763x658
b2型胸腺瘤
图片尺寸1200x1600
灌注化疗,热灌注化疗胸膜腔是个很大的空间,胸腺肿瘤可以种植在胸壁上
图片尺寸1440x1600
胸腺肿瘤的影像学评估及分期
图片尺寸1200x2576
复杂疑难胸腺瘤的外科治疗 - 好大夫在线
图片尺寸1004x432
胸腺肿瘤----以外科为中心的治疗 - 好大夫在线
图片尺寸1000x1112
胸腺瘤_胸腺瘤_介绍_检查_治疗方式 - 好大夫在线
图片尺寸640x744
机器人手术切除巨大胸腺瘤一例 - 好大夫在线
图片尺寸539x359
最常见的胸腺瘤,这些诊断要点要知道
图片尺寸1080x810
增强后呈厚壁环形强化,大小约60×38mm,胸腺来源低度恶性肿瘤可能.
图片尺寸3968x2976
图3.术中肿瘤,整个胸腺,部分心包和血管外膜的切除. 图4.
图片尺寸610x342
写美篇 胸腺瘤是指来源于胸腺上皮或向胸腺上皮分化的肿瘤,根据
图片尺寸1538x939