胸膜肿瘤

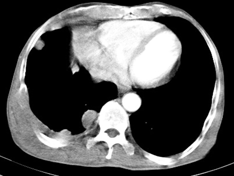
右上后部胸膜肿块,肿瘤内见脂肪密度,肿瘤无明显强化.
图片尺寸612x322
胸膜恶性肿瘤考虑转移瘤
图片尺寸1080x1440
胸膜恶性间皮瘤
图片尺寸2000x2667![胸膜肿瘤之[胸膜间皮瘤]丨小打卡读片精选(30)_胸腔](https://imgs.wantubizhi.com/img/A1A61BAA66193547F3A6DD7D8EE527E9E1574BD5D1B9B0D16BA4C6FFECD7F5653A1EA8AF40A81EDC52E69A6F652F5E0A6D3A3D4BA875812FD593E1474BDCC8A63C81EB5B5AA48505AB220CFF798A5D8FC16E6AEDEF30E8955A23144AF0A8206D)
胸膜肿瘤之[胸膜间皮瘤]丨小打卡读片精选(30)_胸腔
图片尺寸594x899
胸膜纤维瘤,你了解吗?│以影识病
图片尺寸700x501
24个病例带你读懂胸膜孤立性纤维瘤
图片尺寸960x720
热灌注化疗,热灌注化疗,热灌注化疗胸膜腔是个很大的空间,胸腺肿瘤
图片尺寸1440x1600
又一个痛心的案例原本治疗效果好的胸膜间皮瘤患者没办法了
图片尺寸640x498
胸膜恶性间皮瘤
图片尺寸2000x2667
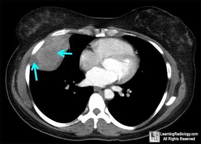
呼吸与胸部疾病讨论版 影像读片 胸膜转移瘤是最常见的胸膜肿瘤,几乎
图片尺寸655x250
优质病例男58岁发现左侧胸膜占位10个月
图片尺寸512x512
胸膜间皮瘤_胸膜间皮瘤介绍 - 好大夫在线
图片尺寸828x1119
胸膜恶性肿瘤考虑转移瘤
图片尺寸1080x1440
胸膜恶性间皮瘤
图片尺寸2000x2667
病例赏析 | 贴近胸膜的肿块
图片尺寸512x512
胸膜恶性间皮瘤
图片尺寸2000x2667![胸腔里冒出这么大个肿物!(1 楼公布病理结果) [病例帖]](https://imgs.wantubizhi.com/img/A1A61BAA66193547F3A6DD7D8EE527E91DFA0E4F0428E9AB7E359B265AE457AFF1DE3755494763564091DF080079E28A367A9E11CE96A70EE9AC611911E2EF320003635FB2380C696EBA615069882DC52777417D37507AFF37A2D19CE9D3D1A5)
胸腔里冒出这么大个肿物!(1 楼公布病理结果) [病例帖]
图片尺寸2449x3265
病例赏析 | 贴近胸膜的肿块
图片尺寸512x512
病例赏析 | 贴近胸膜的肿块
图片尺寸512x512
胸膜的那些瘤
图片尺寸468x352