胼胝体分哪几部分

胎儿胼胝体发育不全丨mri诊断
图片尺寸790x551
图4:胼胝体 确保左右脑协调工作培养脑素质最佳阶段人两岁时大脑神经
图片尺寸720x766
胼胝体
图片尺寸698x508
颅脑先天畸形(胼胝体,透明隔)ppt
图片尺寸1080x810
脑部断层解剖 额上回 额上沟 额中回 胼胝体膝部 侧脑室前角 尾
图片尺寸1080x810
胼胝体疾病课件
图片尺寸800x450
癫痫病的危害么
图片尺寸414x420
这个项目主要分割颅脑中的胼胝体器官.
图片尺寸1006x425
经胼胝体透明隔间穹隆间入路手术切除第三脑室肿瘤
图片尺寸640x529
图片结构清晰,知识网络分明 连合纤维 1胼胝体:嘴,膝,干 和压部; 2
图片尺寸1080x810
胼胝体在脑中的位置而我们惯用手的使用也在影响着该区域的变化发展
图片尺寸954x613
关于胼胝体发育不全
图片尺寸1080x1489
胼胝体
图片尺寸300x234
关于胼胝体发育不全
图片尺寸1080x1394
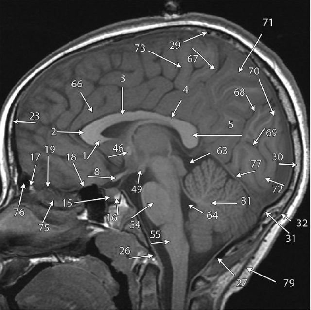
什么叫胼胝体
图片尺寸565x642
关注孩子的发展,关注孩子的发展规律 胼胝体是联结左右脑的两束神经
图片尺寸1080x810
10,鼻窦(sinonasal) 具体组成结构及相关结构结构的位置见下表及图1
图片尺寸640x638
5类胼胝体病变的影像学表现
图片尺寸714x533
company logo 端脑又称大脑,由两侧大脑半球借胼胝体连接而成
图片尺寸1080x810
胼胝体的病变你会诊断吗?
图片尺寸960x720