脉络丛细胞

脉络丛
图片尺寸375x252
是室管膜_脉络丛细胞吗?
图片尺寸1599x1199
人脉络丛上皮细胞
图片尺寸796x549
脉络丛: 产前炎症的渠道 吗 ?-西梅
图片尺寸800x480
脉络丛
图片尺寸659x844
德研究所(broad institute)的其他同事在《细胞》(cell)杂志上发表的
图片尺寸799x530
脉络丛产前炎症的导管
图片尺寸424x326
用「胶质瘤」开启「神经系统肿瘤」之门(上)|星形细胞瘤|神经系统|毛
图片尺寸934x664
脉络膜微血管内皮细胞
图片尺寸1443x880
脉络丛癌
图片尺寸300x225
脑脊液由脑室脉络丛,室管膜上皮和毛细血管产生,经过脑室系统流入蛛网
图片尺寸585x738
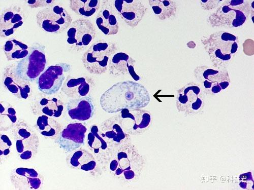
染色的csf标本中有naegleria(箭头)和大量白细胞.
图片尺寸500x375
人体正常原代细胞 产品目录
图片尺寸1024x768
脉络丛乳头状瘤(图2)
图片尺寸550x399
脉络丛癌一例
图片尺寸2756x886
胆固醇载体也可以治疗阿尔茨海默氏症
图片尺寸490x561
淋巴细胞性脉络丛脑膜炎
图片尺寸640x375
漂亮的脉络丛
图片尺寸1080x1132
脉络丛乳头状瘤的病因
图片尺寸415x576
of choroid plexus)是缓慢生长的良性肿瘤起源于脑室的脉络丛上皮细胞
图片尺寸640x479