脊柱变形
![[精] 脊柱弯曲,你叫我如何有个美好的童年!](https://imgs.wantubizhi.com/img/ADDA3C5D760C6828B77B505A29D43E83C14B960B88AA53D14AD2B933E0E63EDC6F5FE07FCFFD610E488101E3602E56E9AFBE19BCC3AB3779871EBD91D6FADC4BA403F9C7795636CCFC36F8370EEE0EC5F76E919A2DB8877183862A06E9FBDCDA)
[精] 脊柱弯曲,你叫我如何有个美好的童年!
图片尺寸750x750
上海强直性脊柱炎的治疗方法有哪些_脊柱性风湿的治疗方法_生物制剂
图片尺寸1434x1920
脊柱畸形
图片尺寸270x270
脊柱侧弯导致脊柱变形,肩背部不平,胸廓畸形,骨盆倾斜,长短腿,姿势
图片尺寸800x700
9个不经意行为会让宝宝脊柱弯曲.爸爸妈妈注意了!快看看你有没 - 抖音
图片尺寸1080x1920
尿布穿不对容易脊柱变形?儿科医生:没错,这3个错误行为最坑娃
图片尺寸640x538
严重腰椎变形引起长短腿,浮针治疗加矫正一次的前后对比.
图片尺寸640x853
二十多年来,他因垂体瘤导致头颅变长,嘴唇肥厚,手脚粗大,脊柱变形
图片尺寸750x1000
精准解除斑点男孩的心腹之患我院成功实施一例机器人辅助重度脊柱侧弯
图片尺寸305x758
l脊柱侧弯
图片尺寸1280x684
由于脊柱侧弯扭转严重,腰椎变形移位,患者无法配合完成常规的腰穿体位
图片尺寸500x412
颈椎变形人脊柱姿势向后看照片
图片尺寸456x300
最近完成的一例特发性脊柱侧弯
图片尺寸1080x1440
一男子脊柱拧成麻花竟是因为跷二郎腿
图片尺寸699x647
新苗脊柱侧弯医体治疗体系4060度治疗好转的病例
图片尺寸800x1131
警惕儿童脊柱侧弯医生不正确坐姿是元凶
图片尺寸1000x563
郑骨医,小儿骨科二脊柱侧弯科短阶段固定治疗脊柱侧弯一例
图片尺寸1734x2214
脊柱变形导致的体态变化 图片来源:〔1
图片尺寸640x426
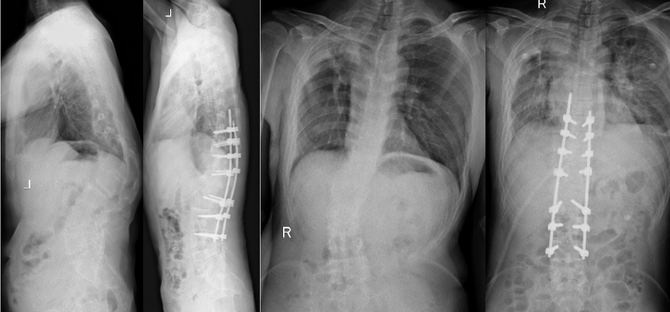
病例分享:脊柱后凸畸形矫形术
图片尺寸1376x641
病例分享:脊柱后凸畸形矫形术
图片尺寸1014x635