脊索瘤

什么是脊索瘤
图片尺寸640x794
【病例】骶骨脊索瘤1例mr影像表现
图片尺寸512x512
一例骶尾部巨大脊索瘤手术病历汇报
图片尺寸1440x1080
头痛医头一一之颅内脊索瘤
图片尺寸2000x2667
脊素瘤
图片尺寸500x465
头痛医头一一之颅内脊索瘤
图片尺寸2000x2667
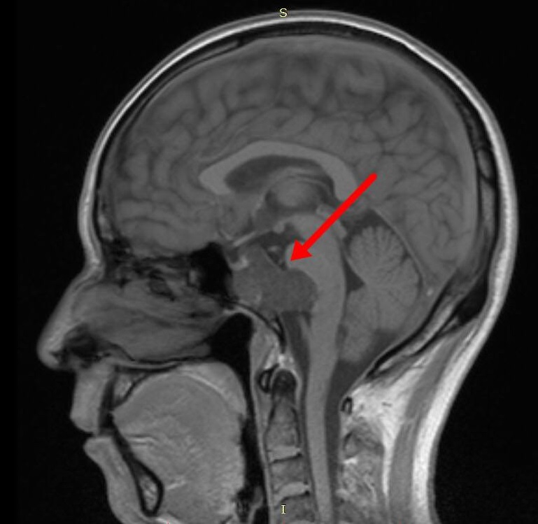
颅底脊索瘤(五):影像特点
图片尺寸769x749
一例骶尾部巨大脊索瘤手术病历汇报
图片尺寸1440x1080
头痛医头一一之颅内脊索瘤
图片尺寸2000x2667
包邮:脊索瘤:技术.技巧及策略 医学 图书
图片尺寸800x800
头痛医头一一之颅内脊索瘤
图片尺寸1000x1334
3,骶尾椎脊索瘤(点击链接可查看)骶尾椎脊索瘤手术1例
图片尺寸817x938
腰部脊索瘤
图片尺寸2592x1944
脊椎肿瘤压迫~少年7天内瘫痪
图片尺寸600x396
骶骨肿瘤脊索瘤
图片尺寸800x600
骶骨脊索瘤手术病例分享 (原创)
图片尺寸960x720
质子治疗脊索瘤患者之一
图片尺寸1060x693
颅内肿瘤之脊索瘤 - 好大夫在线
图片尺寸1432x532
颅内肿瘤之脊索瘤
图片尺寸1031x532
【携康追踪案例】质子治疗中国脊索瘤患者之三
图片尺寸1262x700