脑中线

原创丨脑中线结构区域解剖及病变影像
图片尺寸1080x810
患者中线偏移约1.5cm
图片尺寸641x631
大脑中线处常见的25种疾病
图片尺寸640x644
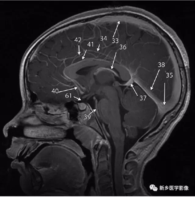
经典收藏头颅mr矢状位中线结构解剖
图片尺寸630x511
p:枕正中点;m1:通过血肿中心点且垂直于正中线并与之相交的交叉点;b1
图片尺寸719x625
大脑中线处常见的25种疾病
图片尺寸640x641
正常,脑中线结构居中,各脑沟,脑 yh.657 检查员:赵柏 - 抖音
图片尺寸1440x1920
大脑中线处常见的25种疾病
图片尺寸640x315
大脑中线处常见的25种疾病
图片尺寸640x595
25种大脑中线处常见疾病
图片尺寸640x317
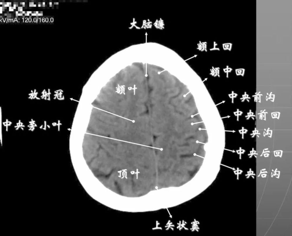
下面进入实战演练篇,熟练掌握脑出血及脑梗死的头颅ct表现,是脑科医生
图片尺寸1000x808
大脑中线处25种常见疾病图解汇总
图片尺寸640x638
大脑中线处常见的25种疾病
图片尺寸640x648
大脑中线处25种常见疾病图解汇总
图片尺寸640x314
大脑中线处25种常见疾病图解汇总
图片尺寸640x643
大脑中线详细解剖 25种疾病汇总
图片尺寸640x646
2014-5-27(图2):双侧额颞顶硬膜下积液伴硬膜外血肿,中线居中.
图片尺寸600x337
大脑中线处常见的25种疾病
图片尺寸642x292
穿刺深度的测算:在头皮上测量f点到中线垂直距离(由图07可知为2.
图片尺寸802x668
【温故知新】大脑中线处常见的25种疾病影像表现
图片尺寸640x640