脑内血肿

五莲县人民医院神经外科完成我县首例内镜下脑内血肿清除术
图片尺寸720x540
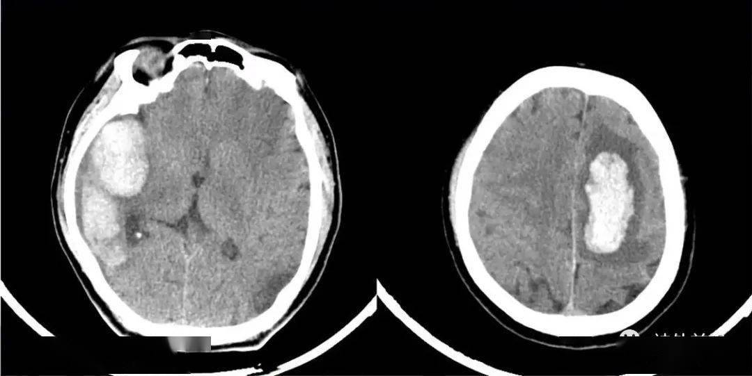
神经内镜下脑内血肿清除术术前术后影像对比. 邹仰光 摄
图片尺寸680x362
一图读懂:脑血肿部位
图片尺寸440x535
左颞枕脑内血肿
图片尺寸1342x1639
左颞枕脑内血肿
图片尺寸1200x1600
一例显微镜下小骨窗颅内血肿清除术
图片尺寸4000x2000
第四节脑内血肿
图片尺寸858x792
术前片子 大量脑内血肿
图片尺寸2000x2667
结合介入技术治愈巨大头皮血肿(病历分享)
图片尺寸2424x1364
第三例,左基底节区血肿(45毫升)
图片尺寸2000x2667
脑挫伤脑内血肿一例请大家讨论手术指征
图片尺寸2989x1884
神经内镜下脑内血肿清除术
图片尺寸2667x2000
ct见脑内血肿
图片尺寸1199x1599
左颞枕脑内血肿
图片尺寸1200x1600
术前ct平扫,右侧基底节区脑内血肿,血肿量约16ml.
图片尺寸2667x1723
睿米特约 | 机器人辅助脑出血穿刺引流10例 血肿排空有哪些技巧
图片尺寸1080x541
2020年12月3日复查头颅ct显示颅内血肿最大横截面已经明显缩小且密度
图片尺寸1080x1440
术前ct-1,血肿量约60ml.
图片尺寸1200x1316
小孔径大乾坤,神经内镜下脑内血肿清除术
图片尺寸1200x1600
右侧大脑半球大面积脑梗死,合并右侧顶枕部颅内血肿.
图片尺寸2666x2000