脑出血头颅ct图片

家长发现后送当地医院急诊行颅脑ct检查,提示枕叶大量脑出血,因手术
图片尺寸660x660
七旬老人突发脑出血!3d打印技术辅助颅内血肿穿刺引流化险为夷
图片尺寸801x760
脑实质内出血丨演变,分布,ct表现
图片尺寸440x917
头颅ct提示右侧外囊区脑出血
图片尺寸1080x836
我院颅脑ct复查提示:右侧基底节区脑出血,约7.9ml.
图片尺寸522x537
全省领先!常德市一医院开展3d技术精准治疗自发性脑出血疗效好
图片尺寸709x675
脑实质内出血丨演变,分布,ct表现
图片尺寸434x472
这是可以让一个家庭彻底崩溃的:蛛网膜下腔出血|动脉瘤|脑积水|脑出血
图片尺寸640x606
经头部ct检查,明确病因为:左侧颞枕部脑出血并脑疝形成,同时还患有高
图片尺寸640x968
脑出血术后脑积水,脑室引流和脑分流术后反致运动不能缄默症_意识
图片尺寸520x503
左侧颞叶脑出血——头颅ct结果郑州大学附属郑州中心医院会不会是
图片尺寸1080x1440
脑海绵状血管瘤是年轻人脑出血常见原因,不要轻视"头痛脑热"!
图片尺寸1601x1093
脑出血术后脑积水,脑室引流和脑分流术后反致运动不能缄默症_意识
图片尺寸563x334
如何鉴别颅内出血?这些小技巧请收下!|识图断案
图片尺寸512x512
经头颅ct检查后,王先生确认为脑干出血.
图片尺寸1080x1441
脑实质内出血丨演变,分布,ct表现
图片尺寸451x505
脑实质内出血丨演变,分布,ct表现
图片尺寸503x522
图-4:2019年2月21日头颅ct但脑出血脑室外引流术3天即2019年2月21日
图片尺寸1044x1078
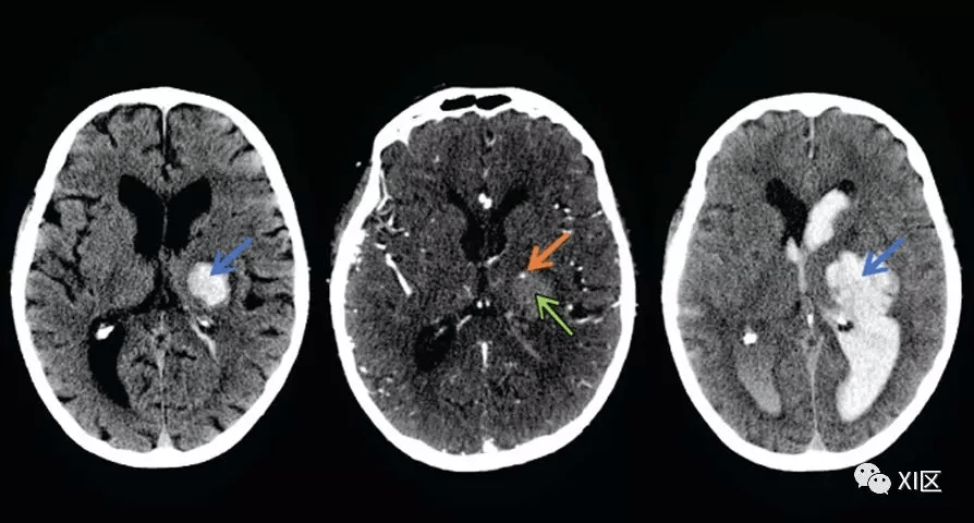
ct图像中脑出血血肿扩大的十个征象(下)_al_sign_et
图片尺寸894x480
脑干出血!
图片尺寸750x1010