脑出血ct图

以突发脑出血入院,入院头颅ct提示右侧顶枕部出血52ml.
图片尺寸2241x2000
头颅ct提示:左侧基底节区脑出血.出血量大于30ml.
图片尺寸2000x2667
ct提示左侧基底节,丘脑,颞叶,枕叶广泛性脑出血.
图片尺寸3024x4030
患者入院头颅ct显示为左侧颞枕叶脑出血,出血量大
图片尺寸2560x1778
28岁年轻男性脑出血
图片尺寸4032x3024
自发性脑出血外科治疗
图片尺寸1198x1598
应用头部亚低温治疗高血压脑出血临床效果分析
图片尺寸3094x1819
脑出血,杜某某,50岁,以"突发左侧肢体无力1小时余"急诊入院.
图片尺寸2667x2000
脑出血,杜某某,50岁,以"突发左侧肢体无力1小时余"急诊入院.
图片尺寸2667x2000
立即复查头颅ct,完善检查,发现李奶奶不止左侧顶枕叶脑出血,脑出血量
图片尺寸1024x1024
烟雾病待除外急诊予以脑出血钻孔引流术后头部ct显示中线结构恢复两日
图片尺寸4160x2336
基底节脑出血脑疝治疗策略1
图片尺寸1199x1599
其它 王俊霞,女,50岁,右顶叶脑出血 写美篇2019-02-22我院头ct 2019
图片尺寸1080x1440
脑出血ct影像学预警识别再出血的征象
图片尺寸1334x1000
脑出血ct影像学预警识别再出血的征象
图片尺寸2000x2667
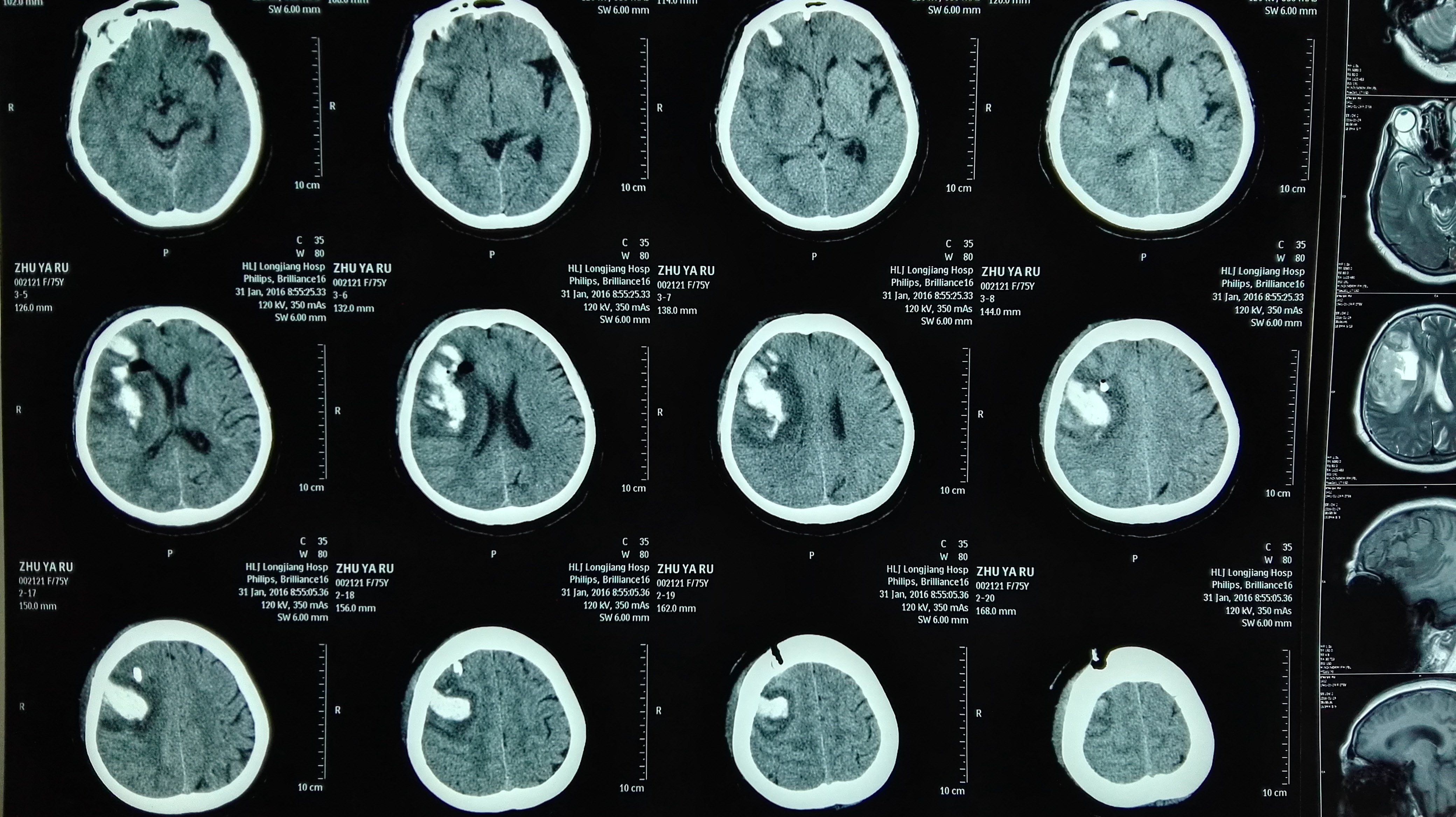
脑出血ct及术后复查
图片尺寸1521x1017
急性脑出血脑疝病人绿色通道
图片尺寸3264x2448
青年男性,突发意识不清2小时入院,头ct提示顶枕叶脑出血.
图片尺寸1080x1440
头部ct提示蛛网膜下腔出血
图片尺寸2000x3556
颅脑ct显示:患者枕叶脑出血
图片尺寸800x482