脑室脉络丛钙化ct图

ct040:颅脑病例——脉络丛钙化
图片尺寸289x303
ventricles:侧脑室;choroid plexus:脉络丛;calcification:钙化
图片尺寸573x661
颅内钙化ctmri诊断鉴别诊断
图片尺寸960x720
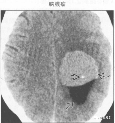
脉络丛:比松果体和缰联合钙化的几率低,其中以侧脑室脉络丛钙化多见.
图片尺寸524x618
脑室内钙化 intraventricular calcification(s) 鉴别诊断 常见 脉络
图片尺寸894x477
包括面部色素痣,软脑膜和脉络膜血管瘤,其颅内钙化多见于顶枕叶,钙化
图片尺寸515x539
看了那么多颅内钙化,这些鉴别「套路」你可知晓?
图片尺寸832x624
常见颅内钙化的影像学征象
图片尺寸640x412
神经影像:颅内钙化之病理篇丨实战读片
图片尺寸1080x552
双侧脉络丛增大和右侧枕颞叶皮质下钙化.
图片尺寸479x308
缰联合钙斑位置比松果体钙斑偏前,靠近三脑室,而松果体钙斑接近大脑大
图片尺寸590x620
36种颅内钙化你都弄清楚了吗
图片尺寸607x1485
但通过观察侧脑室三角区钙化的脉络丛有无移位及根据移位的方向对脑内
图片尺寸1018x1018
女,73 岁;侧脑室及脉络丛钙化,呈结节状;小脑幕钙化呈线样生理性钙化
图片尺寸882x662
鉴别诊断丨脑室内钙化
图片尺寸442x473
神经影像:颅内钙化之病理篇丨实战读片
图片尺寸856x440
头部ct
图片尺寸2048x1536
颅脑ct示双侧脑室体部室管膜下多发钙化灶
图片尺寸486x343
多图颅脑钙化的ct表现一生理遗传性感染性血管性疾病篇
图片尺寸927x577
(2)侧脑室脉络丛钙化:常见于双侧侧脑室三角区脉络丛,呈多数小点聚集
图片尺寸700x772