脑干ct图片

入院第二天脑部ct:脑干左侧份急性梗死
图片尺寸1559x1200
10张图搞定正常头颅ct断层解剖
图片尺寸960x720
我院重症医学科成功救治一例大面积脑干出血患者
图片尺寸520x561
(10月13日晚,头部ct提示患者脑干出血10毫升.
图片尺寸974x589
行头颅ct检查提示:脑干出血,量约8ml.
图片尺寸538x635
脑干出血命悬一线,五院神外挑战"生命禁区"做永不言弃的医者
图片尺寸1200x1600
脑干区常见病变影像表现
图片尺寸1080x810
院外头颅ct
图片尺寸2000x2667
脑干出血 - 好大夫在线
图片尺寸3264x2448
【推荐】高清大脑断层解剖,脑干及核团分步走形特点
图片尺寸863x712
脑ct医保 医保脑ct
图片尺寸2078x2525
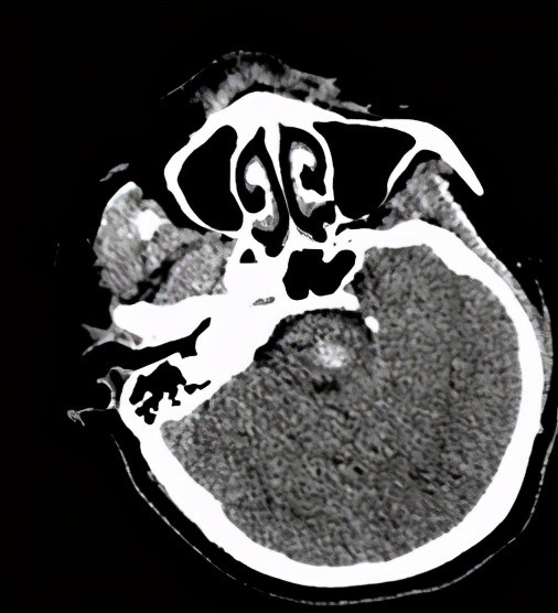
脑干可见片状高密度影,测其最大层面约18 mm15 mm 20 mm,ct值约65 hu.
图片尺寸506x556
我带母亲去蚌埠医学院治病,这是拍的脑部ct,医生不能确诊,让我回家
图片尺寸1536x2048
脑部ct
图片尺寸3456x2304![【病例讨论】脑干出血 [病例帖]](https://imgs.wantubizhi.com/img/A1A61BAA66193547F3A6DD7D8EE527E947B7AEAA7846F0225F5C1A219EA3112DE8D052821D62FB2439CB41E115A4DBA3166F0759CB262B0F87E48811AC83497FE02D3DC064A7918462756719A9BD11686DC7338EBB3474D8C0A3A3AD00F5A525)
【病例讨论】脑干出血 [病例帖]
图片尺寸2448x3264
帮忙看脑部ct片.
图片尺寸2736x3648
脑干出血11天求围观
图片尺寸512x512
脑干之殇何法救?––狭路相逢勇者胜!
图片尺寸1479x1700
看下这个头部ct
图片尺寸3120x4208
紧急求助谁帮我看一下这个脑ct
图片尺寸3456x2304