脑梗拍片

手把手教程:脑梗死影像读片入门
图片尺寸500x430
原始型大脑后动脉的梗塞片子
图片尺寸1280x960![分水岭脑梗塞伴房颤患者一例 [病例帖]](https://imgs.wantubizhi.com/img/735A5D1F980B52A636CC46F12F2D1A7395D5EE53F7A87EC8B309FF96C2BE195B36935D9D75491FD6008395C1E2445C0EBB34ED6405B7A87806BADADA28BE3F1FE91A5B13ED4EEB09FA5A32BED5C653EAB511E39B6828E294C5356E5A11E00945)
分水岭脑梗塞伴房颤患者一例 [病例帖]
图片尺寸2336x4160
脑梗塞病人的头ct片,大家看看下一步的治疗
图片尺寸2592x1944![【病例讨论】一例脑梗病例 [病例帖]](https://imgs.wantubizhi.com/img/735A5D1F980B52A636CC46F12F2D1A738532D89E8D6D9AE091B2A12EC860F2C71E87807BA28E54B0ACE0EDAD87C56705DFE1464F4DA27F1BE24F7D13E378536CC48850E7A5C73A992C2A2E06B9C761F6C720229770B314309B49A6CD90111D6D)
【病例讨论】一例脑梗病例 [病例帖]
图片尺寸640x960
包小 女 52岁 右侧颞叶脑梗死 右侧颈内动脉虹吸部小凸起.
图片尺寸1948x2393
脑梗塞病人的头ct片,大家看看下一步的治疗
图片尺寸2592x1944
脑血栓溶栓治疗后,面积增大(附带片子)
图片尺寸576x1024
专家给看一下,脑梗,万分感谢!
图片尺寸3456x5184
其它 一例右侧颈内动脉夹层闭塞脑梗死的救治 写美篇
图片尺寸2000x2667
脑梗塞病人的头ct片,大家看看下一步的治疗
图片尺寸2592x1944
脑梗塞
图片尺寸3200x1800
左侧额颞部脑梗塞,双侧基底节区腔隙性脑梗塞治疗方案
图片尺寸3104x4192
我妈妈2014年11月3日突发急性脑梗塞(本身患糖尿病,甲亢),求广大网友
图片尺寸2368x4208
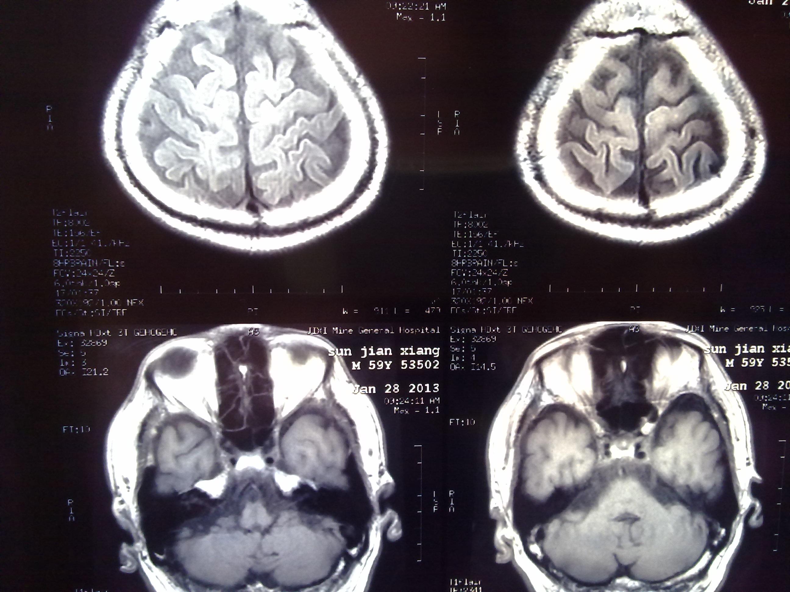
核磁共振片子的脑梗诊断 - 知乎
图片尺寸2048x1536
家父右脑梗塞现左上肢麻木各位专家有何治疗方法
图片尺寸800x942
广场舞王苏科的最后一支舞曲
图片尺寸1080x810
脑血栓溶栓治疗后,面积增大(附带片子)
图片尺寸576x1024
哈医大二院卒中中心日志(四)
图片尺寸2171x1865
《病例分享:静脉窦血栓形成并发急性脑梗死》封丘县中
图片尺寸1148x1343