脑梗死

脑梗死静脉溶栓治疗一场与时间赛跑的较量
图片尺寸1080x810
急性脑梗死典型病例分享
图片尺寸2000x2667
急性脑梗死和Ⅱ型糖尿病患者血栓前状态实验诊断分析 - 副本 - 副本
图片尺寸640x631
医生告诉你答案|脑梗塞|脑梗死|血管|脑血栓_网易订阅
图片尺寸640x427
急性脑梗死早期ct征象图解以及磁共振演化.#医学影像 #放射 - 抖音
图片尺寸1541x1045
什么是脑梗 脑梗死的症状表现-西城区快手主播点赞最多的人是谁
图片尺寸1270x1280
引起出血(脑出血)或因血管阻塞导致血液不能流入大脑引起缺血(脑梗死)
图片尺寸660x482
如何预防高血压发展为脑梗死脑出血
图片尺寸750x500
腔隙性脑梗死,脑梗死死亡的风险大吗-第1张图片-宏宇知识网
图片尺寸640x406
值班突遇脑梗死,怎么办?看这个病例学规范化流程!
图片尺寸420x339
人到中年如何避免脑梗死做到三个坚决让你生活更健康
图片尺寸486x300
大血管闭塞性脑梗死,如何通过侧支循环评估与干预改善患者预后?
图片尺寸1049x604
颈动脉有斑块这5种预防措施做不到位很可能会脑梗别大意了
图片尺寸576x384
我院急诊行头颅ct考虑急性脑梗死
图片尺寸2000x2667
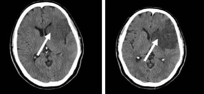
掌握5个征象ct也能诊断超早期脑梗死
图片尺寸675x311
脑血栓与脑栓塞应如何判断?两者被合称为脑梗死,应该如何预防?
图片尺寸1000x399
医学影像学笔记——脑梗死
图片尺寸640x318
脑梗死为什么ct检查还要核磁共振
图片尺寸892x649
积医科普脑梗死的防治
图片尺寸571x577
脑梗死能彻底治好吗?
图片尺寸600x400