脑水肿ct图片解说图

颅脑手术后迟发性脑水肿的临床分析 | 临床神经外科_医学界-助力医生
图片尺寸440x326
脑水肿,脑积水的分类及影像表现,一文归纳!
图片尺寸530x308
一文掌握各型脑水肿的ct鉴别诊断
图片尺寸640x360
一文掌握各型脑水肿的ct鉴别诊断
图片尺寸640x360
7h后复查ct显示脑水肿加重:65岁,女性.
图片尺寸842x1500
脑出血性脑水肿
图片尺寸2080x1560
2 阻塞性脑积水-ct诊断-医学
图片尺寸828x708
【讨论】脑水肿(26235)
图片尺寸640x1066
漫谈脑积水的ct诊断
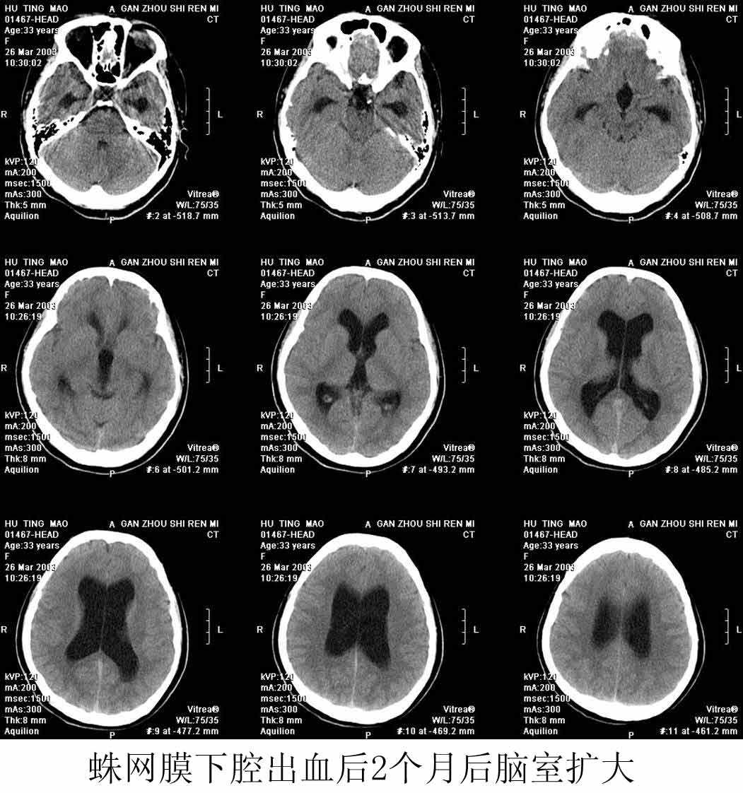
图片尺寸1051x1122
裕民县人民医院外一科再次成功救治一例脑出血病人!
图片尺寸1600x1200
四,有关脑积水的几个问题㈠脑积水的早期ct表现:脑室扩大顺序是侧脑室
图片尺寸640x561
脑水肿,脑积水的分类及影像表现,一文归纳!
图片尺寸891x629
脑水肿脑积水的分类及影像表现一文归纳
图片尺寸1008x556
>> 不再显示 × 细胞毒性脑水肿常见于缺血缺氧性疾病的早期,早期ct和
图片尺寸691x900
图4:正常压力脑积水患者脑脊液分流前后的头颅ct(分别为上,下两排).
图片尺寸1174x671
颅脑手术后迟发性脑水肿的临床分析 | 临床神经外科_医学界-助力医生
图片尺寸938x513
【ppt】重视脑分水岭梗死 – 影像ppt
图片尺寸960x720
入院急诊查头颅ct提示右侧颞顶叶肿胀,片状低密度影,考虑急性大面积脑
图片尺寸590x883
河南宏力医院神经外科采用外科手术,使一例17年来因患极度严重脑积水
图片尺寸551x1068
男子头痛以为脑肿瘤,开颅后恶臭液体流出,医生后背冷汗:误诊了
图片尺寸821x334