脑池

断层解剖-脑池脑血管.ppt
图片尺寸1152x864
脑池造瘘术治疗重型颅脑损伤的临床应用进展临床神经外科
图片尺寸800x641
脑池(收藏的同时点个赞哦)成对的脑池:大脑纵裂池,大脑外侧裂 - 抖音
图片尺寸922x1123
断层解剖-脑池脑血管.ppt
图片尺寸1152x864
脑池的断面解剖图ppt
图片尺寸1080x810
pdf 37页
图片尺寸972x729
脑池的断面解剖图ppt
图片尺寸1080x810
脑池的断面解剖图ppt
图片尺寸1080x810
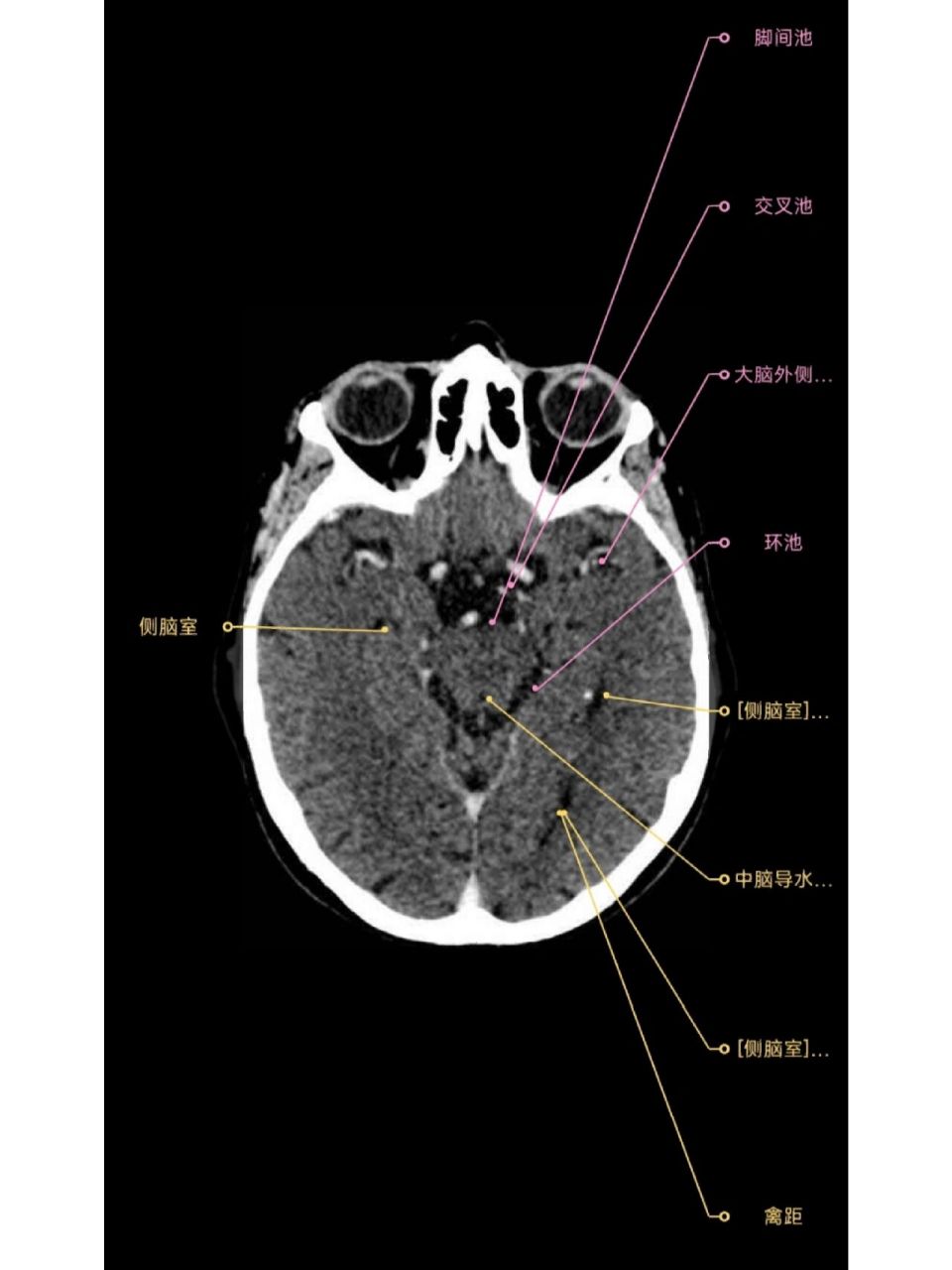
脑池 环池,脚间池,交叉池,外侧窝池
图片尺寸960x1280
超人气大神版手绘神经影像解剖既美又实用
图片尺寸1080x763
脑池断层影像解剖ppt课件.pps
图片尺寸920x690
脑池的断面解剖图ppt
图片尺寸1080x810
脑室脑膜脑池
图片尺寸1080x810
脑mr横断面解剖ppt
图片尺寸1080x810
脑mr横断面解剖ppt
图片尺寸1080x810
脑池
图片尺寸300x283
36441669418743797
图片尺寸1080x742
脑梗塞的影像学诊断ppt
图片尺寸1434x810
此外,多年来,同一个脑池以构成其壁或位于其内部
图片尺寸640x904
脑池的断层解剖
图片尺寸640x444