脑池CT

2.颅脑ct解剖图谱-脑室脑池ct解剖
图片尺寸995x622
图7-1 头颅ct扫描:中线结构无移位,脑池脑沟稍增宽
图片尺寸1536x1529
颅脑损伤及脑血管病ct判读与临床ppt
图片尺寸1215x810
这下面的是那个脑池
图片尺寸400x400
脑池 环池,脚间池,交叉池,外侧窝池
图片尺寸960x1280
宝鸡第三医院-宝鸡市第三人民医院成功开展首例ct脑池造影(ctc)检查
图片尺寸300x390
脑室,脑池,脑裂,脑沟未见扩张,受压迫等移位改变什
图片尺寸864x1536
入院ct示环池,纵裂池,外侧裂,脑沟高密度影并脑室扩张.
图片尺寸1200x1600
宝鸡市第三人民医院成功开展首例ct脑池造影(ctc)检查 -宝鸡第三医院
图片尺寸300x390
图6. 2017年5月15日头颅ct显示脑沟脑池不清晰,脑肿胀明显.
图片尺寸640x777
相关文档搜索 相关文档 mri颅脑 横断解剖图谱(1) 颅脑横断层解剖和ct
图片尺寸1080x810
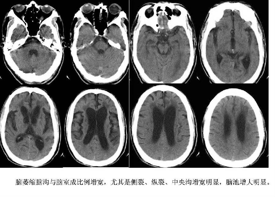
2,脑积水脑沟浅或消失,脑池不增大;脑萎缩脑沟与
图片尺寸900x647
相关文档搜索 相关文档 mri颅脑 横断解剖图谱(1) 颅脑横断层解剖和ct
图片尺寸1080x810
神经影像诊断学基础--变性病ppt
图片尺寸1080x810
脑池的断面解剖图ppt
图片尺寸1080x810
肖庆案例分享神经内镜下治疗脑积水
图片尺寸2976x3968
在ct 图像上,大脑大静脉池在第三脑室上部与"v" 型小脑幕影之间,与第
图片尺寸517x617
枕骨可表现扇贝样凹陷脑池有小脑镰,微小静脉穿过小脑
图片尺寸892x475
脑池的断面解剖图ppt
图片尺寸1080x810
超全详解:脑池和脑室断层解剖_影像
图片尺寸960x720