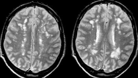
脑白质脱髓鞘

【病例讨论】大片脑白质脱髓鞘
图片尺寸2504x2784
脑白质脱髓鞘改变
图片尺寸2742x2742
脑白质脱髓鞘改变
图片尺寸3024x3024
脑脱髓鞘疾病的影像诊断 | 影像天地
图片尺寸960x720
脑白质脱髓鞘改变怎么治疗?
图片尺寸1829x1280
mri报告中的脱髓鞘与脑白质疏松诊断的辨析
图片尺寸2398x1265
5分钟学会脑白质脱髓鞘病变的影像诊断
图片尺寸919x635
这样的的病例,见一次就终身难忘
图片尺寸800x800
5分钟学会脑白质脱髓鞘病变的影像诊断
图片尺寸920x621
脑白质脱髓鞘
图片尺寸300x224
脑白质脱髓鞘
图片尺寸500x480
于大脑的白质区域,因此脑部脱髓鞘病灶也往往称之为 脑白质脱髓鞘病灶
图片尺寸440x250
脑白质脱髓鞘改变怎么治疗?
图片尺寸1316x1280
【请教】7月大婴儿,双侧脑白质脱髓鞘.
图片尺寸2576x2322
脑脱髓鞘疾病的影像诊断
图片尺寸960x720
当地行磁共振报"脱髓鞘",最终诊断却是苯丙酮尿症
图片尺寸564x600
脱髓鞘脑病影像诊断
图片尺寸633x525
脱髓鞘脑病影像诊断_白质
图片尺寸575x288
脑白质脱髓鞘疾病
图片尺寸920x690
5分钟学会脑白质脱髓鞘病变的影像诊断
图片尺寸941x651